ARCHITECTURAL            

       ALL-on-X              

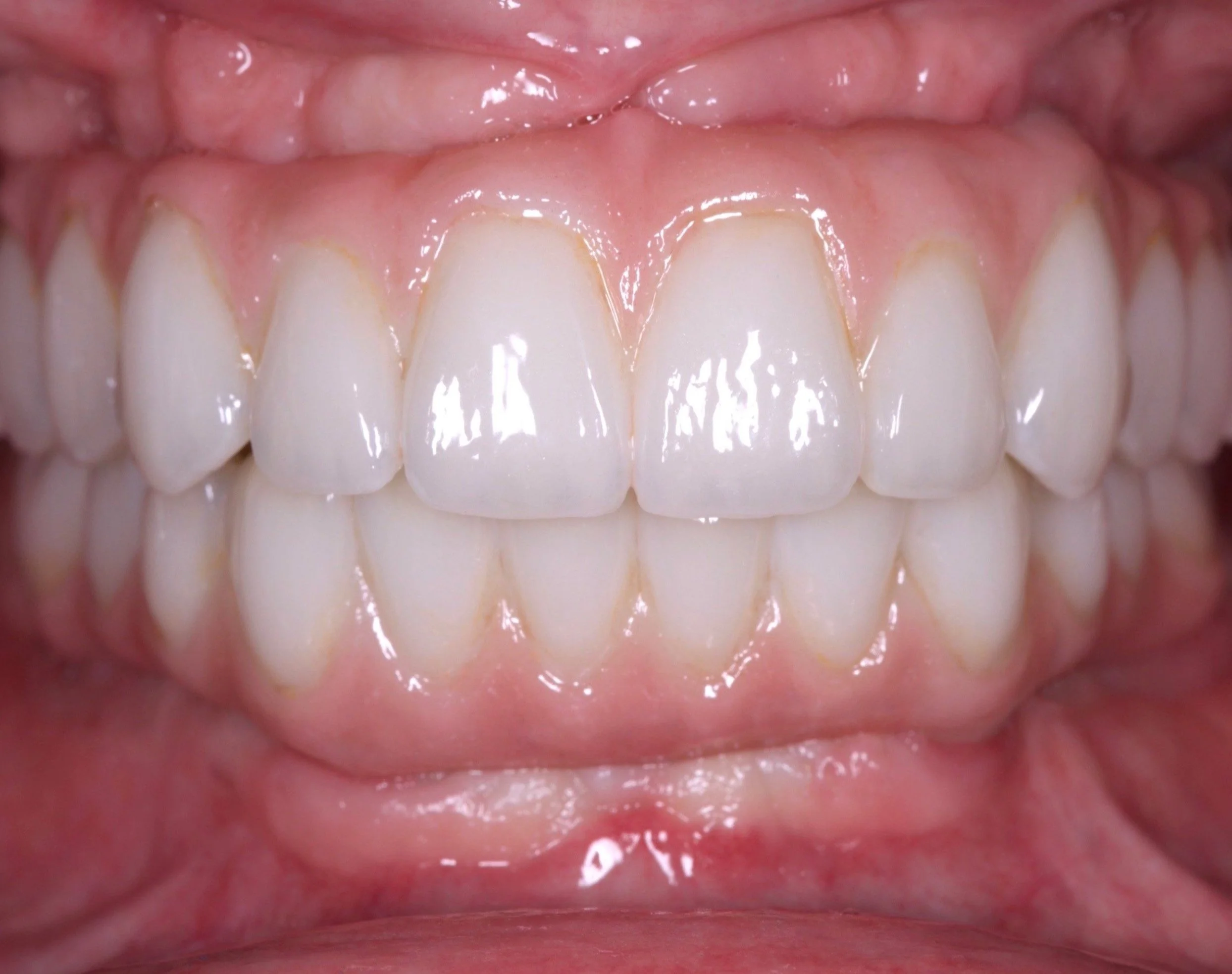
all-on-4 dental implants newport beach

ALL-on-X is a FIXED full mouth teeth replacement attached to solid dental implants. These are the closest thing to real teeth both in strength and aesthetics, made of zirconia and porcelain (not plastic like a denture). They are only removable by the dentist. This treatment is needed when the teeth are lost or are needing to be removed due to infections. If you are considering this option, please request an ALL-on-4 IMPLANT CONSULTATION.

Full-arch dental implant projects are carefully planned by Dr. Heldt on DTX Implant Studio, the most advanced implant software available. Dr. Heldt’s expertise is in COMPUTER-GUIDED SURGERY and prosthetic planning using leading generation computer software.  Dental implants are placed minimally invasively using cutting-edge technology and contemporary surgical techniques.  You will only see Dr. Heldt start to finish for your entire implant project: surgery, prosthetic, and continued maintenance. This streamlines the appointments and ensures the highest quality control throughout the project.

ARCHITECTURAL All-ON-X means implant projects are designed on CAD software (DTX Implant Studio and Exocad) and all details are completely specified prior to starting work. With a CT scan and digital study models, all aspects of the case can be determined: implant positions planned to ideal, abutment type used, access channel location, gum tissue transition line in relation to your smile, framework material, shape and shade, layering translucency level, and even gum tissue colors. Nothing is figured out “in the field” or at time of surgery. The key to translating the computer plans to the actual surgery is using a FULLY GUIDED SURGICAL STENT. This is the most accurate form of the “guided surgery” technologies available and in Dr. Heldt’s opinion, the best way to have implants placed because a cylindrical mount precision slides into the Surgical Guide’s sleeves with a 99% accuracy fit. Without a rigid guide, the implant can deviate from the intended positions due to denser areas of bone. The sleeve ensures the implant stays on course as it is being inserted into the jaw. Because implants are the foundation to the final prosthetic teeth, the entire plan depends on where the implants are installed and should be placed to ideal locations for the best aesthetic and functional outcome.

ARCHITECTURAL: DESIGN + BUILT TO SPECIFICATIONS

  • Design + Build to specification is now possible with CAD Software

  • Direct to MUA Frameworks

  • Angulated screw-channel on Frameworks

  • Metal-free + Cement-free Frameworks

  • 3D Printed temporary teeth + Rapid Prototyping

  • Try-in phase for patient to evaluate and approve of the prototype before ordering the final

  • Ultra-Realistic aesthetic results with Layered Porcelain technology

  • Digital Workflow and Full-Arch Intra-oral implant scanning

ENGINEERED

IMPLANT PLACEMENT

SPECIALIZED ALL-ON-X SERVICES

ONE DOCTOR START TO FINISH: SURGICAL + PROSTHETIC • SAME-DAY TEETH REPLACEMENT • TEETH IN A DAY • PRIVATE TREATMENT SUITES • COMPUTER GUIDED SURGERY • 3D PRINTED SURGICAL GUIDES • IV SEDATION • ANGULATED SCREW-CHANNEL CUSTOM ABUTMENT • DTX IMPLANT STUDIO SOFTWARE • MORITA X800 CBCT • EXTRACT + IMMEDIATE IMPLANTS • MINIMALLY INVASIVE SURGERY • SCREW-RETAINED IMPLANTS • LAYERED PORCELAIN • CUSTOMIZED PINK PORCELAIN • FULLY-GUIDED IMPLANT SURGERY • XENOGRAFTING • ALLOGRAFTING • NOBELACTIVE • NOBELPARALLEL • ZIRCONIA CUSTOM ABUTMENT • DESIGNER IMPLANTS + PROSTHETICS • MADE TO ORDER CUSTOMIZATION • NATURAL AESTHETIC OPTIONS • ULTRA REALISTIC PROSTHETIC • MUA PLATFORM CONVERSION • STATE-OF-THE-ART FACILITY • CONTEMPORARY TECHNIQUES • DESIGNER DENTISTRY • HU-FRIEDY • OSTEOGENICS • NOBEL BIOCARE • DIGITAL WORKFLOW • PRIMESCAN • HASSELBLAD • BRONCOLOR • ADEC • APPLE XDR • BIEN-AIR

FREQUENTLY ASKED QUESTIONS

  • There are some unique features about Dr. Heldt’s practice when it comes to dental implants:

    EXPERIENCE & TRAINING - Dr. Heldt has been placing implants for over 12 years (as of 2026) and his expertise is in the “Fully Guided”computer surgery technology to create the maximum success for his patients. Implants are a large part of the work we do, and he’s able to offer a wide spectrum of implant services ranging from single implants, to immediate provisionals, to All-on-4 implants. Dr. Heldt has placed thousands of implants all using the “Fully Guided” surgery technology which gives the most predictable surgical and prosthetic results. Dr. Heldt plans every All-on-X surgery on DTX Studio implant software and uses a “Fully-Guided” surgical guide to ensure the implants are installed to the same positions as planned on the software. This is the most precise way to surgically place dental implants out of all the guided surgery approaches, because the implants are INSERTED through the surgical guide. The final implant will only be oriented in a position that is dimensionally congruent with the surgical guide. Other guided surgery approaches such as the “pilot guide, X-Nav, or aesthetic guides” do no have a metal sleeve guiding the implant into the predetermined position. This technique can be tedious for the implant surgeon, not only several hours of planning on software, 3D printing and fabricating the guides, but also the surgery is more technical and technique sensitive requiring specialized guided surgery instruments and machinery. The benefits however are well worth the extra work and cost involved: Architectural + Engineered results. Ideal placement of all implants enables the final prosthetic teeth to be as perfect as possible, both in aesthetics and function. This also helps the final teeth to be as slim as possible, making them look and feel as natural possible.

    ONE DENTIST. Dr. Heldt is the only dentist you will see start to finish for the implant process: from surgery to crown, to long-term maintenance (cleanings) and checkups. Many offices don't offer implant surgeries but Dr. Heldt wants to ensure his patients have the highest quality experience by streamlining and managing all phases of the implant process in one office, by one doctor.

    STATE-OF-THE-ART technology applied. Dr. Heldt personally designed and built the office from the ground up. All the technology he has is leading edge and considered to be the best in the industry. Since the implant’s final position is key it’s long-term success, Dr. Heldt plans every case on advanced computer software (Nobel Biocare’s DTX Implant Studio), and surgically places every implant using the “Fully Guided” methodology.

    RESULTS YOU CAN SEE. We show our work online for patients to see what is possible. If there’s a certain look you’re wanting, bring a clear photo to your consultation appointment. The lab can incorporate the features you like about the photo into your final implant crowns.

    ONE OFFICE - Dr. Heldt does not believe in owning multiple dental offices for cosmetic and implant work. The level of care, accountability, and commitment required for this type of work is too high. Dr. Heldt only has one location and is not a dentist who travels and rotates among multiple locations. Being committed to a single location provides the highest level of quality control, giving his patients the access to care when they need.

  • A technology where implant surgeries are planned on computer software to enable optimal placement during surgery.  After getting a CT scan, Dr. Heldt will scan and copy the patient’s existing teeth. These files are imported into DTX Implant Studio software where the positions of the implants can be planned out to ideal positions.  We also map out vital structures to avoid during the surgery such as nerves and sinuses.

    After all the implants have been planned to ideal positions, we 3D print a drill guide that fits onto the patient's teeth.  This is call a "Surgical Guide" and the technology is called "Guided Surgery". The rigid support of the other teeth makes a solid foundation for the surgical guide.  During the surgery, Dr. Heldt uses sleeves that lock into the guide which are precision fit with each size drill.  He also uses depth stoppers on the drills to make sure the drill doesn't go any deeper than the planned positions.  After the drilling has been completed, he uses an "implant mount" to guide the implant through the cylindrical metal sleeves of the surgical guide into the bone to the planned positions on the computer.  This technique is called "Fully Guided Surgery" and is in Dr. Heldt's opinion, the most accurate and precise way to place implants among the various “guided surgery” options.  There are other guided surgery techniques where the doctor can use a guide for only the first drill or "pilot guide".  Or use a guide for all the drilling but place the implant not through the guide.  The issue with these approaches is the implant can veer off as it's being tightened down, similar to a drywall screw deviating in a wall, especially if it meets some denser areas. Dr. Heldt uses the "Fully Guided" method which has a precise fitting metal sleeve to guide the implant to the same positions as on the software. He does this for 100% of his implant surgeries for maximum success.

  • All-on-X are part of Dental Implants but it is reserved to mean ALL the teeth in the arch are supported by dental implants. At minimum 4 implants need to be placed to support a full arch implant-supported bridge but often times we place 6 or 8, so the term “All-on-4” has evolved to “All-on-X”. This bridge is made of zirconia and has pink porcelain to simulate the gum tissue (“FP3” is the term used to indicate the prosthesis replaces lost bone, gums, and teeth).

    In contrast, a single implant replaces only one tooth in the jaw. Some people may have several single implants in a jaw but these are not considered All-on-X unless all the other teeth have been removed and 1 single solid implant-supported bridge has been installed to replace all teeth.

    All-on-X are dental implants but on a much larger scale (full jaw of implants vs. replacing one tooth or a few teeth).

    People get All-on-X are losing or have lost their teeth due to periodontal disease, severe generalized cavities, failed root canals, or even other failed implants. All-on-X is an incredible technology where people can have all their teeth back because of dental implants. Before implants, the only option was a denture that is difficult to chew with, difficult to talk, and uncomfortable to wear. All-on-X is a solid set of artificial teeth that are the closest replacement a person can have to their original teeth.

    If someone has many teeth that are infected and unsavable, then All-on-X may be the best long-term treatment. Fortunately, we have the technology to give new “teeth-in-a-day” where all the teeth are removed and a new set of teeth are made. Dr. Heldt would discuss the options available at your Implant Consultation appointment: (949) 734-0126.

  • Yes, All-on-X is the best technology for getting “Teeth-in-a-Day”. With the latest technology, we can remove all the teeth, place “X”implants (4, 6, or 8), then 3D print your new teeth in the office. These teeth would be your temporaries for 4-6 months until your implants have “osseointegrated” or healed. This is a good way to see how you like the functional prototype’s design for your future teeth. Once we’ve made adjustments and taken notes on what changes to make from the prototype for the finals, we’ll take photos, make a copy, then send the lab a copy. They’ll use this as their blueprint for making the finals.

  • Yes, he has extensive training and experience in surgically placing and restoring dental implants. Dr. Heldt received his AAID Membership in 2015, his ICOI Fellowship in 2016, and his AO Membership in 2020. He lectures for Nobel Biocare, the company with a legacy for founding the dental implant industry dating back to 1952.

  • Several reasons: (1) Equipment and technology needed have a high capital expense. To make a surgical guide, Dr. Heldt needs a CT scan, a digital scanner, implant software, and specialized implant instruments and machinery. Dr. Heldt is proud to have the Morita X800 CT scan machine onsite. He also uses the highest resolution intraoral scanner (PrimeScan), and the most advanced implant software (DTX Implant Studio by Nobel Biocare). He also has acquired all the specialized instruments and machinery from a name brand company, Nobel Biocare, who pioneered the implant industry (considered the Mercedes-Benz of the implant industry). It takes quite a bit of capital expense to have all the right technology. Many dentists don’t do enough implants in a year to justify the upfront capital cost. Dr. Heldt is committed to providing the best implant service possible for the rest of his career, so he has invested heavily into these technologies. (2) There is also a steep learning curve to become proficient in the CT scan software, DTX Implant Studio software, and knowing how to use all the specialized Guided Surgery machinery. Even with all the equipment and technology, it takes years of experience with the technology to become proficient in applying their use. (3) Guided Surgery also takes more time for the doctor to plan out cases. Large All-on-4 cases takes Dr. Heldt several hours to plan out. Our office is considered a boutique dental practice, where we take the time to make sure every case is done using the “Guided Surgery” technology. (4) The “Guided Surgery” also has some extra costs involved to the patient (CT scan and Surgical Guide). Not everyone is wanting to pay the additional cost involved. (5) Some doctors don’t think they need a guide for every case, they have too much volume to plan out each case, or are ok with lower success rates. In Dr. Heldt's opinion, why wouldn’t you want to get a “bulls eye” every time when playing the game of darts? There’s no downsides to using the technology except for the minimal extra costs involved and the extra time it takes the doctor to plan out the surgery. The benefits of getting an implant in the ideal location are well worth it for something that may be installed for the rest of the patient’s life.

  • This means that the screw channel will be behind the front edge of the tooth.  This is important for "screw-retained" implants where we make the abutment and crown to be tightened with a screw engaging and tightening inside the implant.  The advantage of this is that the crown and abutment can be easily removed by the dentist in the future if needed (serviceability).  In contrast, implant crowns can be bonded onto the abutment but there would be no way to remove it anymore except by drilling off the crown, which destroys it.  This was the only option for many years until new technologies like the ASC abutment came out. Dr. Heldt plans 100% of his implants to be "prosthetically-driven" if at all possible.

  • Under ideal circumstances, it’s possible to have the implant crown look indistinguishable from another tooth or your other veneers/crowns. We’ll take several photos of your existing teeth so that lab can make your implant crown to match your other teeth perfectly.

    Limiting situations: (1) when the infection was too large, which eroded the bone, and now the implant crown must be larger than normal. For back teeth this is less critical, but more noticeable in front teeth, (2) if the implant was placed in a non-ideal position, which is more common if not using the “Fully Guided” surgery technology. The position of the implant is critical not only for the surgical success but also for the doctor making the abutment and crown to make it look beautiful. Dr. Heldt wants every implant he places to turn out beautifully, so he does every implant using the “Fully Guided” technology for maximum success.

    There are two options we give patients when selecting the final porcelain crown: layered vs monolithic crowns. Layered porcelain looks more natural but costs a little more and is more delicate (more susceptible to chipping). Dr. Heldt recommends layering for the front teeth and sometimes back teeth. The other option is monolithic crowns where the crown is made of one solid piece and is less prone to chipping. These can look very natural to most people but if the other teeth have complex colors and shades, it can be difficult to blend in perfectly. Dr. Heldt recommends monolithic for back teeth or if the front teeth already have monolithic veneers / crowns. Some of these details only a dentist would notice and most people can’t tell a difference. For your assurance, we give everyone an opportunity to inspect the teeth before finalizing the implant crown project. If there’s something you want a modification on, simply show Dr. Heldt. Most of the time we can make the modifications in the office, but sometimes we may need to send it back to the lab for the changes. We will only complete the case when you’re happy with the results.

  • You should not feel any pain during the surgery since we use a local anesthetic to make sure you are fully numb. After the surgery, most people say they have a mild soreness to no pain at all. However, with medications, the pain can be managed so there is little to no pain.

    The recovery varies between people and also how many implants are involved. For a single implant, most people say they took a motrin for a couple days. For larger implant surgeries, the recovery is more like 5-7 days. Individual results will vary depending on the person’s health but this is how it is for most people. Most people have no more pain after a week.

  • Yes, we offer IV sedation where you can be put to sleep for any procedure (additional costs apply) or have conscious sedation (responsive but nearly asleep). Several options for sedation: (1) oral sedation by taking pills, (2) nitrous oxide gas, (3) IV conscious sedation, and (4) IV deep sedation / general anesthesia. Dr. Heldt utilizes the dual operator model, where Dr. Heldt will provide the dental work and an Anesthesiologist will provide and manage any IV sedation. However, less than 3% of patients elect to have sedation due to the higher costs and other requirements involved. Unless you are extremely nervous at a dentist office, a mild sedative and local anesthesia works fine for the vast majority of people. With the latest technology such as the surgical guide, the dental implant procedures are getting shorter and very precise. There is not as much discomfort and recovery involved with implants due to the minimally invasiveness of modern dental implant technology. With local anesthesia, you can always raise your left hand at anytime if you feel anything uncomfortable. You can take breaks as well. There is no need to “tough out” any procedure — your comfort is our top priority.

  • The grey appearance is due to an older technology where a titanium abutment was being used under the crown. In our office however, Dr. Heldt does not use grey titanium abutments — he personally designs and orders custom zirconia abutments (white color) when making the implants crown. This allows us to make an implant crown look beautiful and natural (without gray titanium showing through).

  • Insurance may cover a small part of an All-on-X cost depending your individual plan. We can work with and accept all PPO insurances. However, we are not a contracted provider with any insurance company. Please call our office to find out more information: (949) 734-0126.

  • Yes, we work with an external financing company (CareCredit) so patients are able to get the treatment they need now with affordable montly payment plans. Please visit www.carecredit.com for more information or feel free to call us to learn more.

best dental brands