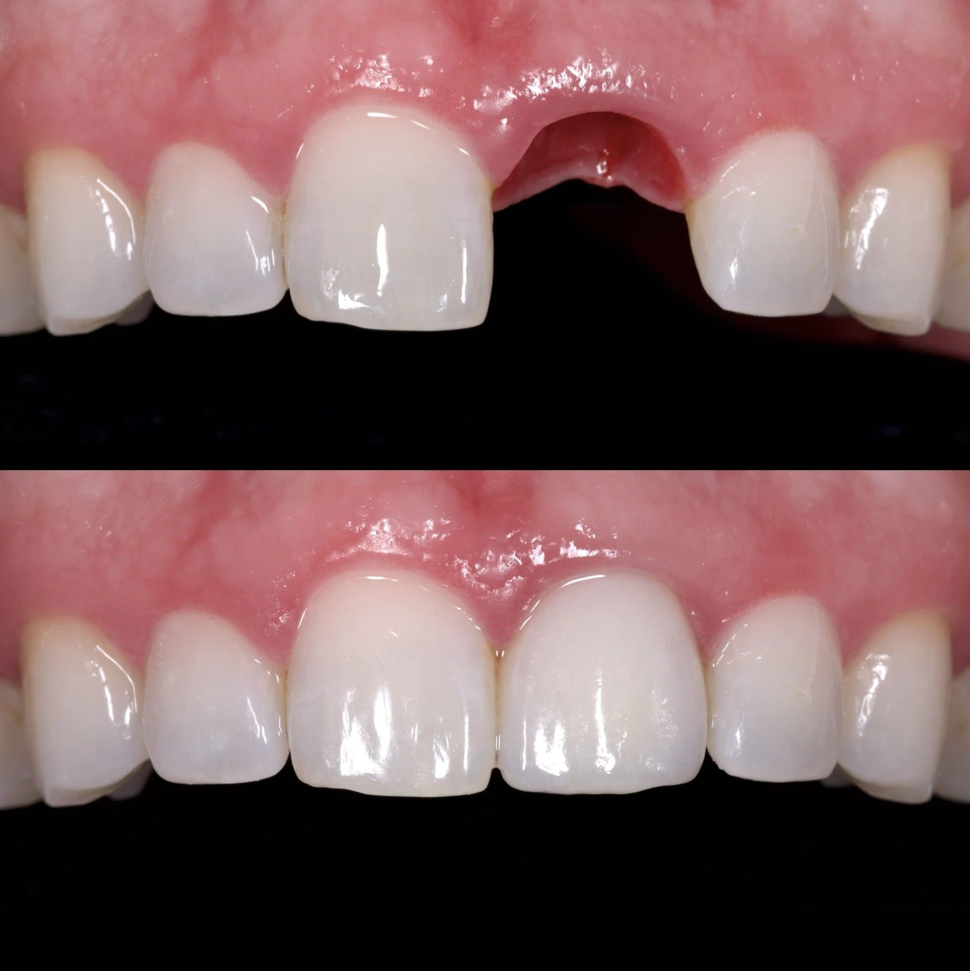
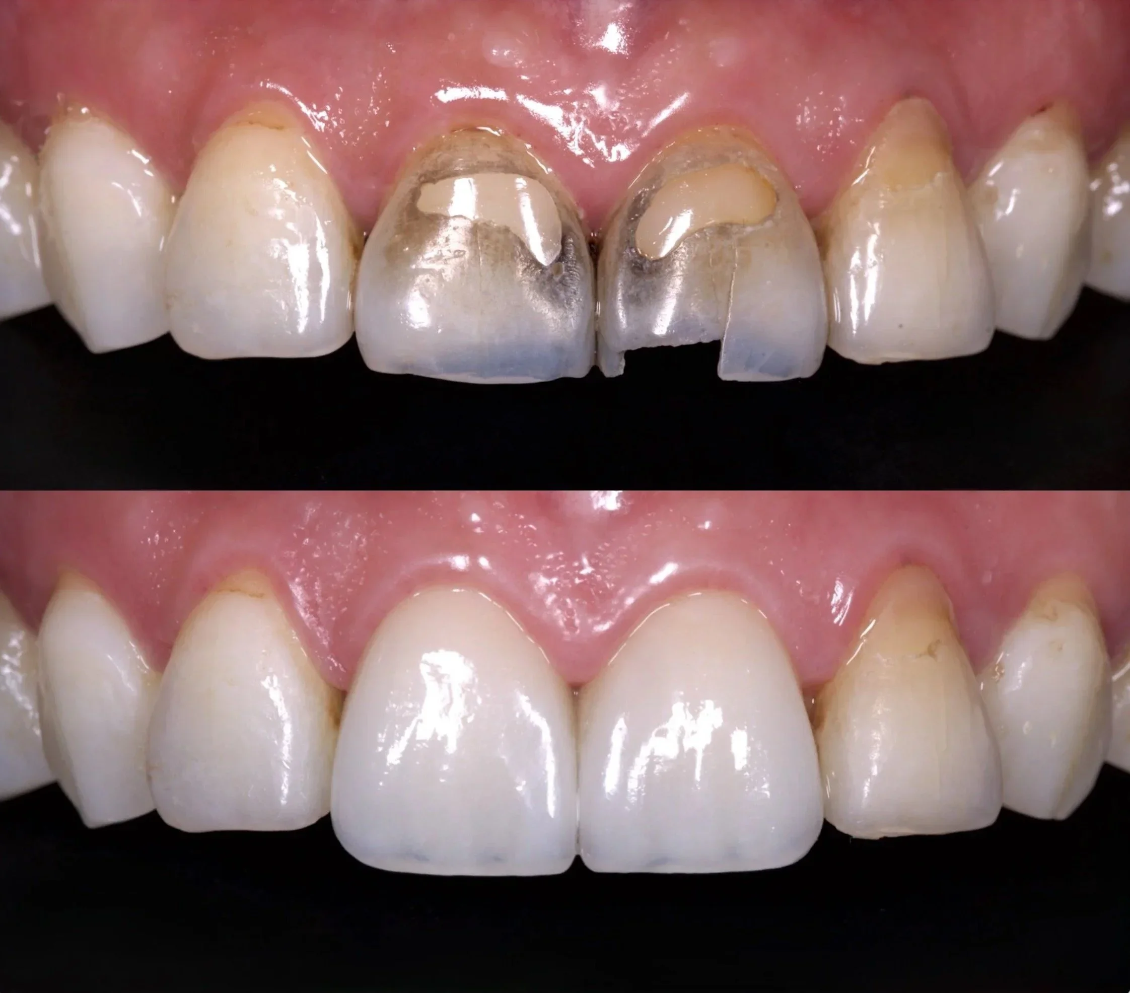
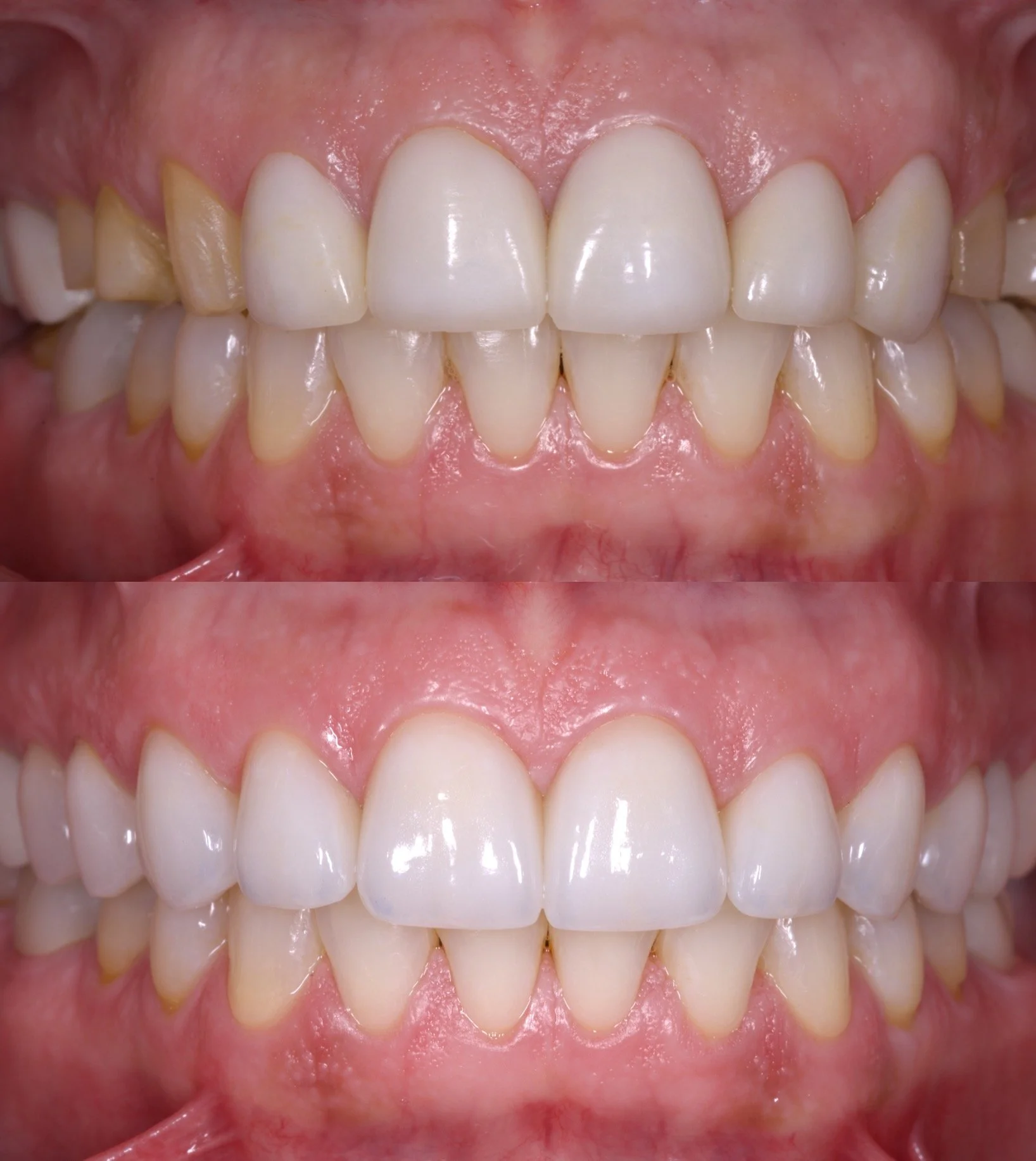
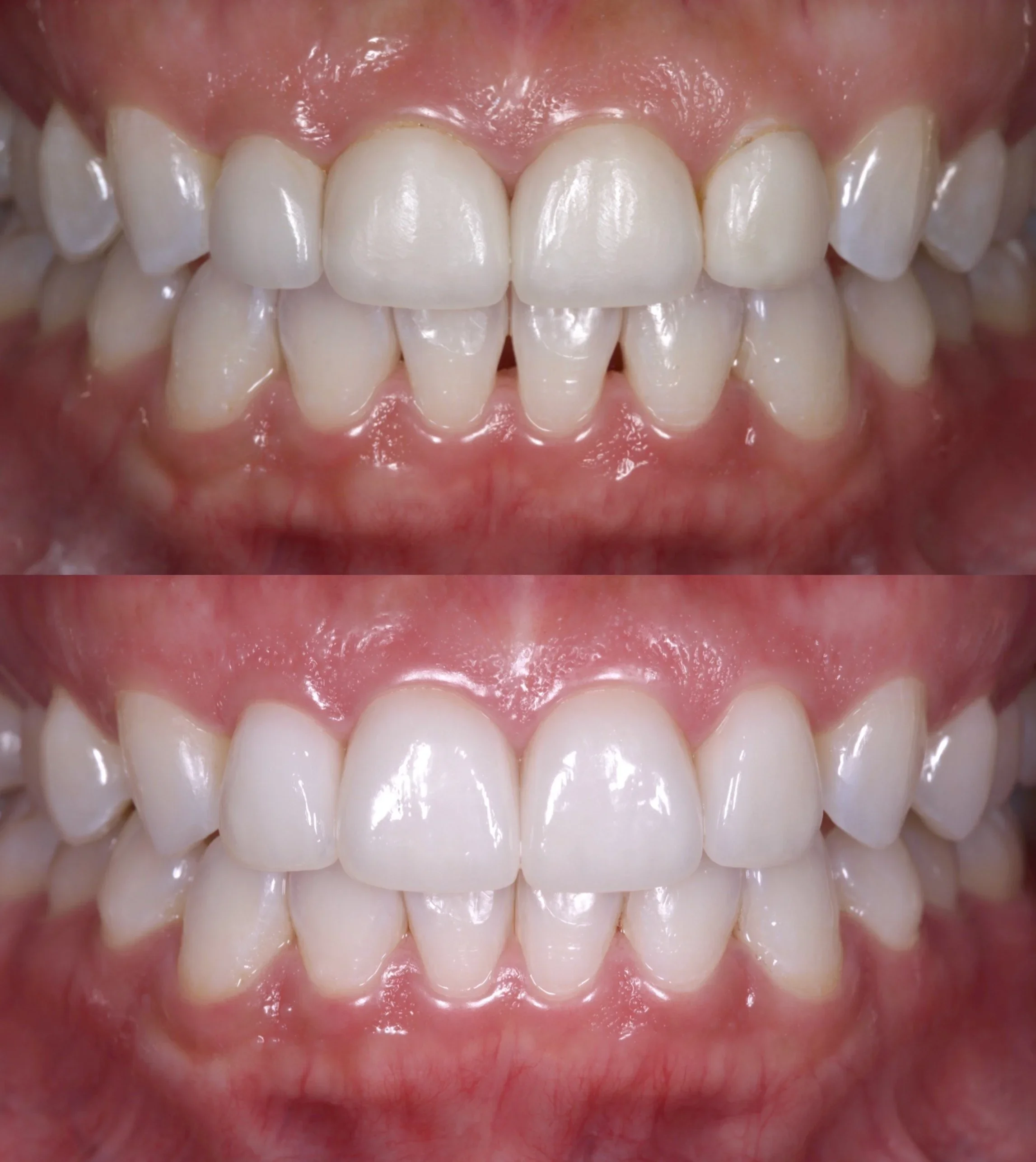
Categories: All Works Veneers Feldspathic Layered Monolithic Implant Implants Implant Crowns Abutments Bone Grafting Immediate Provisional Single Implants All-on-X General Onlays Invisalign Whitening Fillings Bridges Resin Bonding Crowns Shade BL1 BL2 OM1 0.5M1 1M1 A1 D2 Doctor Dr. Heldt Dr. Penry WORKS All Works Veneers Implant General Shade Doctor 12 Veneers + 1 Implant in Shade 0.5M1 28 Veneers, 3 Implants 8 Veneers in Shade OM1 22 Veneers + 1 Implant in Shade 0.5M1 4 Veneers + Invisalign Express 2 Feldspathic Veneers with Natural Aesthetics Resin Bonding + Invisalign 2 Veneers with Natural Aesthetics 2 Veneers with Natural Aesthetics 8 Implants + All-on-X Prosthetic