DENTISTRY  D

DISCOVER YOUR AESTHETIC STYLE by comparing different shades, translucencies, materials, and treatments by selecting “FILTER”. Understand the possibilities in dentistry. Learn more about treatments in our Services section. It’s helpful to find a few cases you like before your Consultation appointment. This page is a work in-progress, please check back as we continue to update and add content. Book online or schedule an appointment with us anytime.

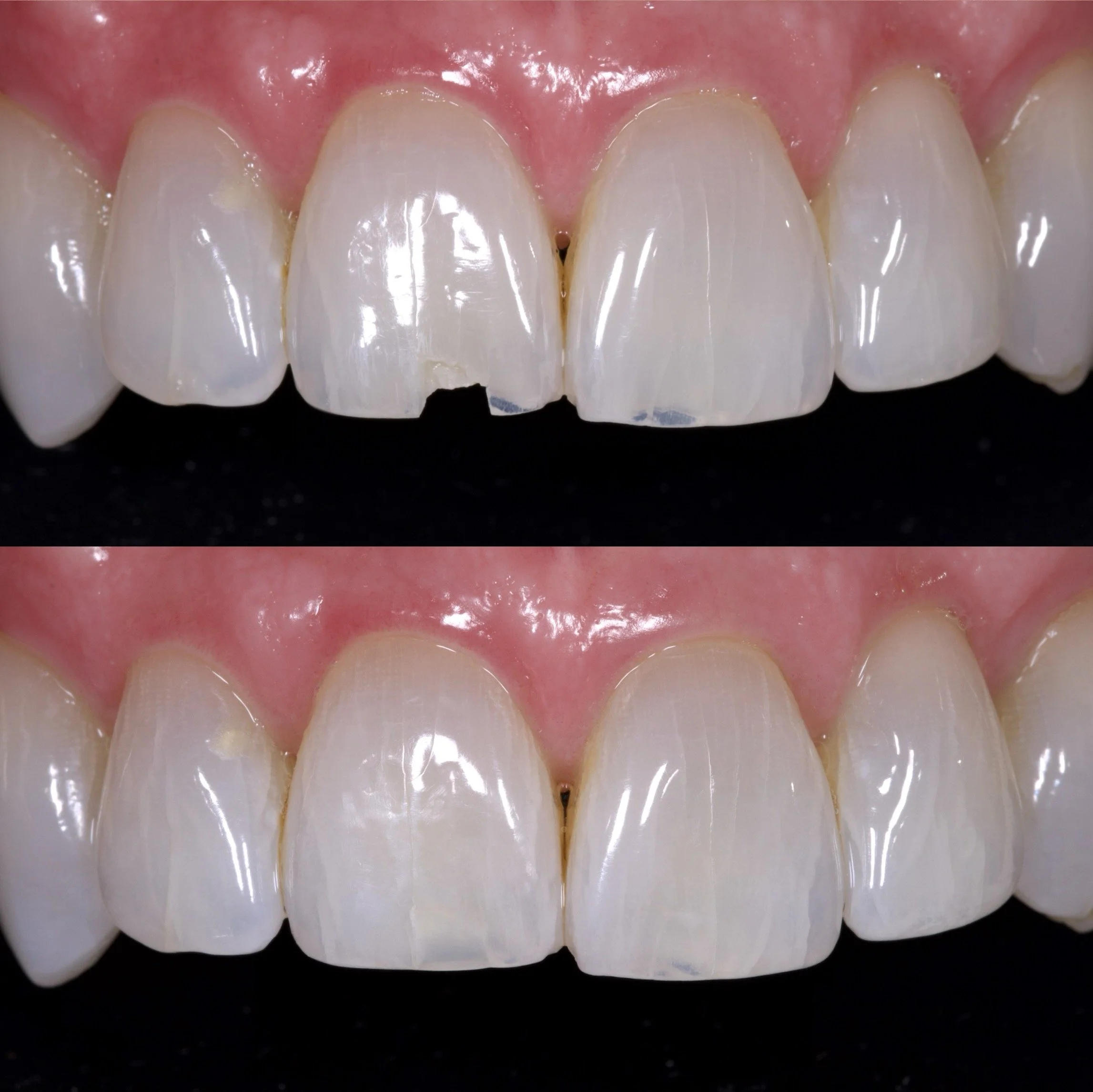
Bonding

Bonding

Filters

No results found

No results match your search. Try removing a few filters.