0
Skip to Content
Jeremy Heldt, DDS - Cosmetic + Implant Dentist
OFFICE
VENEERS
IMPLANT
ALL-on-X
SERVICES
WORKS
CONTACT
Dr. Heldt
Reviews
Payments
Instructions
Referring
Careers
Virtual
Promotions
Amenities
Privacy
Accessibility
Jeremy Heldt, DDS - Cosmetic + Implant Dentist
OFFICE
VENEERS
IMPLANT
ALL-on-X
SERVICES
WORKS
CONTACT
Dr. Heldt
Reviews
Payments
Instructions
Referring
Careers
Virtual
Promotions
Amenities
Privacy
Accessibility
OFFICE
VENEERS
IMPLANT
ALL-on-X
SERVICES
WORKS
CONTACT
Folder: INFO
Back
Dr. Heldt
Reviews
Payments
Instructions
Referring
Careers
Virtual
Promotions
Amenities
Privacy
Accessibility
Screenshot 2026-04-27 at 3.57.26 PM.jpg
WORKS › 1 Feldspathic Veneer with Natural Aesthetics

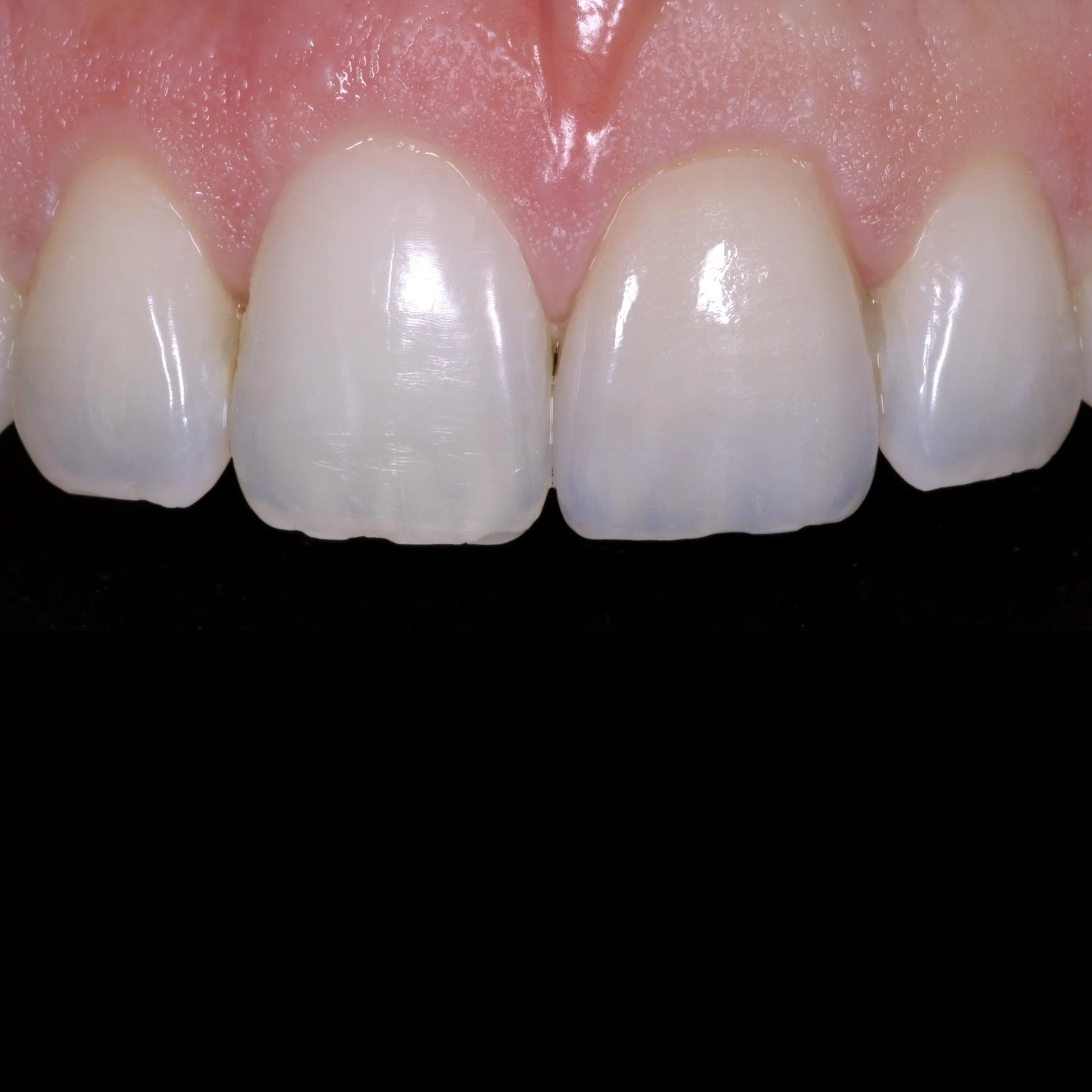
1 Feldspathic Veneer with Natural Aesthetics

$0.00

PORCELAIN VENEER

Feldspathic Porcelain #9

Dr. Heldt, 2026. Newport Beach, California.

COSMETIC: 1 Feldspathic Veneer in Shade 1M1 with microlayering to reproduce the natural features of other teeth (craze lines and shades). Diagnostic waxup with patient-approved temporaries for shape and shade. High translucency. No staining.

PORCELAIN VENEER

Feldspathic Porcelain #9

Dr. Heldt, 2026. Newport Beach, California.

COSMETIC: 1 Feldspathic Veneer in Shade 1M1 with microlayering to reproduce the natural features of other teeth (craze lines and shades). Diagnostic waxup with patient-approved temporaries for shape and shade. High translucency. No staining.

(949) 734-0126

Monday 7:45 - 4:30
Tuesday 7:45 - 4:30
Wednesday 7:45 - 4:30
Thursday 7:45 - 4:30
Friday
phone only 10:00 - 2:00

Outside Business Hours: If you have an urgent issue, send us a text and Dr. Heldt will usually reply within a few hours.

 

 2001 WESTCLIFF DRIVE SUITE 305  

 NEWPORT BEACH CA 92660 

ABOUT

Dr. Heldt

Referring

Privacy

Promotions

Amenities

Accessibility

EXPLORE

Veneers

Implant

All-on-X

Works NEW

Services

SUPPORT

Contact

Virtual

Payments

Instructions

Reviews NEW

Copyright © 2026 Jeremy Heldt, DDS. All rights reserved.