Make it stand out
Whatever it is, the way you tell your story online can make all the difference.
2 LAYERED EMAX VENEERS
Layered eMax, Whitening, Prophy
Dr. Heldt, 2026. Newport Beach, California.
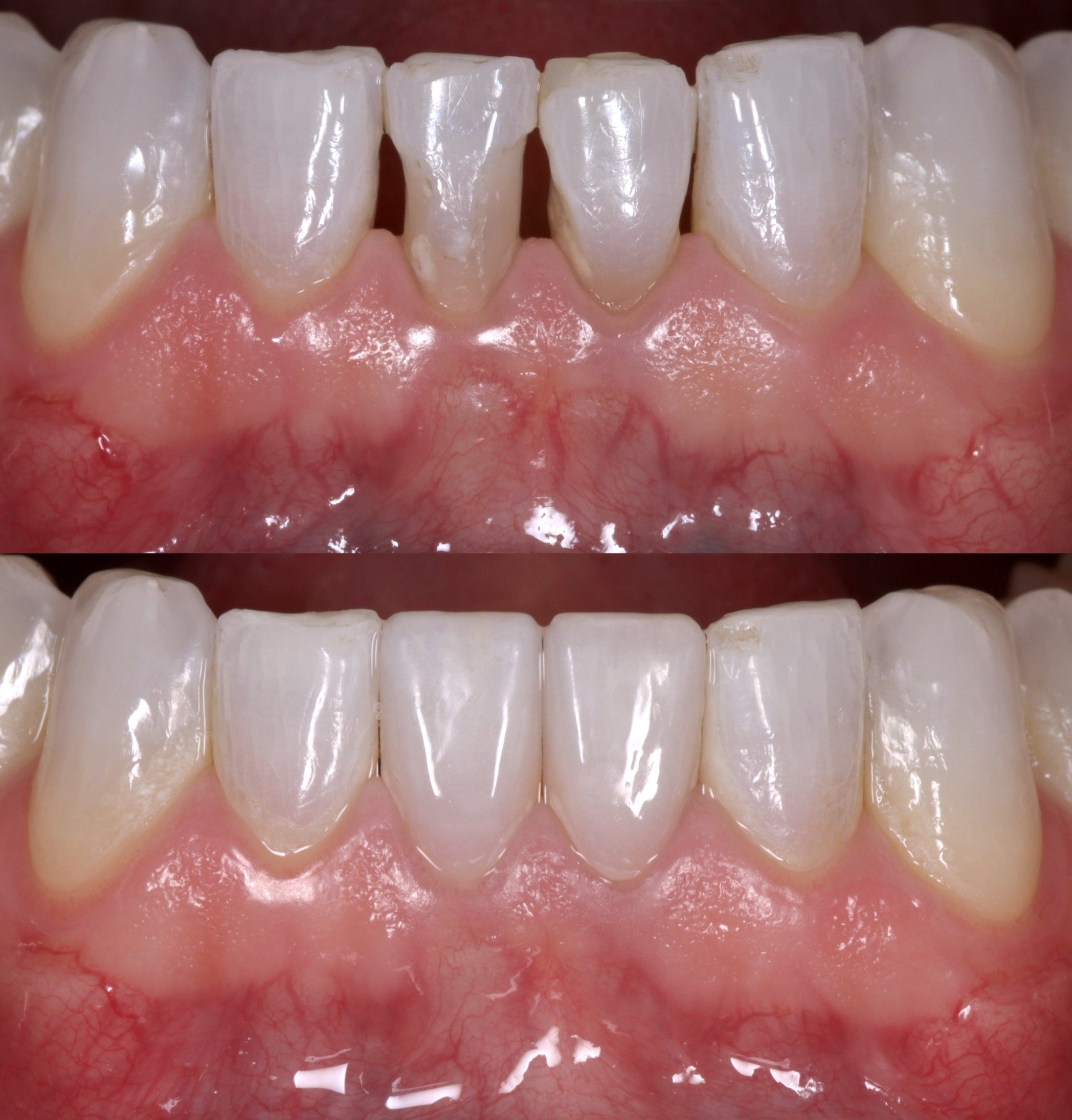
2 Layered eMax Crowns in Shade OM1 to D2. Diagnostic waxup with patient-approved temporaries for shape and shade. Medium translucency and natural aesthetics. Photo shown is day of bonding: gum tissues will look perfect in a few days. Light staining.
2 LAYERED EMAX VENEERS
Layered eMax, Whitening, Prophy
Dr. Heldt, 2026. Newport Beach, California.
2 Layered eMax Crowns in Shade OM1 to D2. Diagnostic waxup with patient-approved temporaries for shape and shade. Medium translucency and natural aesthetics. Photo shown is day of bonding: gum tissues will look perfect in a few days. Light staining.
Make it stand out
Whatever it is, the way you tell your story online can make all the difference.