0
Skip to Content
Jeremy Heldt, DDS - Cosmetic + Implant Dentist
OFFICE
VENEERS
IMPLANT
ALL-on-X
SERVICES
WORKS
CONTACT
Dr. Heldt
Reviews
Payments
Instructions
Referring
Careers
Virtual
Promotions
Amenities
Privacy
Accessibility
Jeremy Heldt, DDS - Cosmetic + Implant Dentist
OFFICE
VENEERS
IMPLANT
ALL-on-X
SERVICES
WORKS
CONTACT
Dr. Heldt
Reviews
Payments
Instructions
Referring
Careers
Virtual
Promotions
Amenities
Privacy
Accessibility
OFFICE
VENEERS
IMPLANT
ALL-on-X
SERVICES
WORKS
CONTACT
Folder: INFO
Back
Dr. Heldt
Reviews
Payments
Instructions
Referring
Careers
Virtual
Promotions
Amenities
Privacy
Accessibility
Screenshot 2026-04-28 at 4.06.54 PM.jpg
WORKS › 28 Veneers in High Translucency

28 Veneers in High Translucency

$0.00

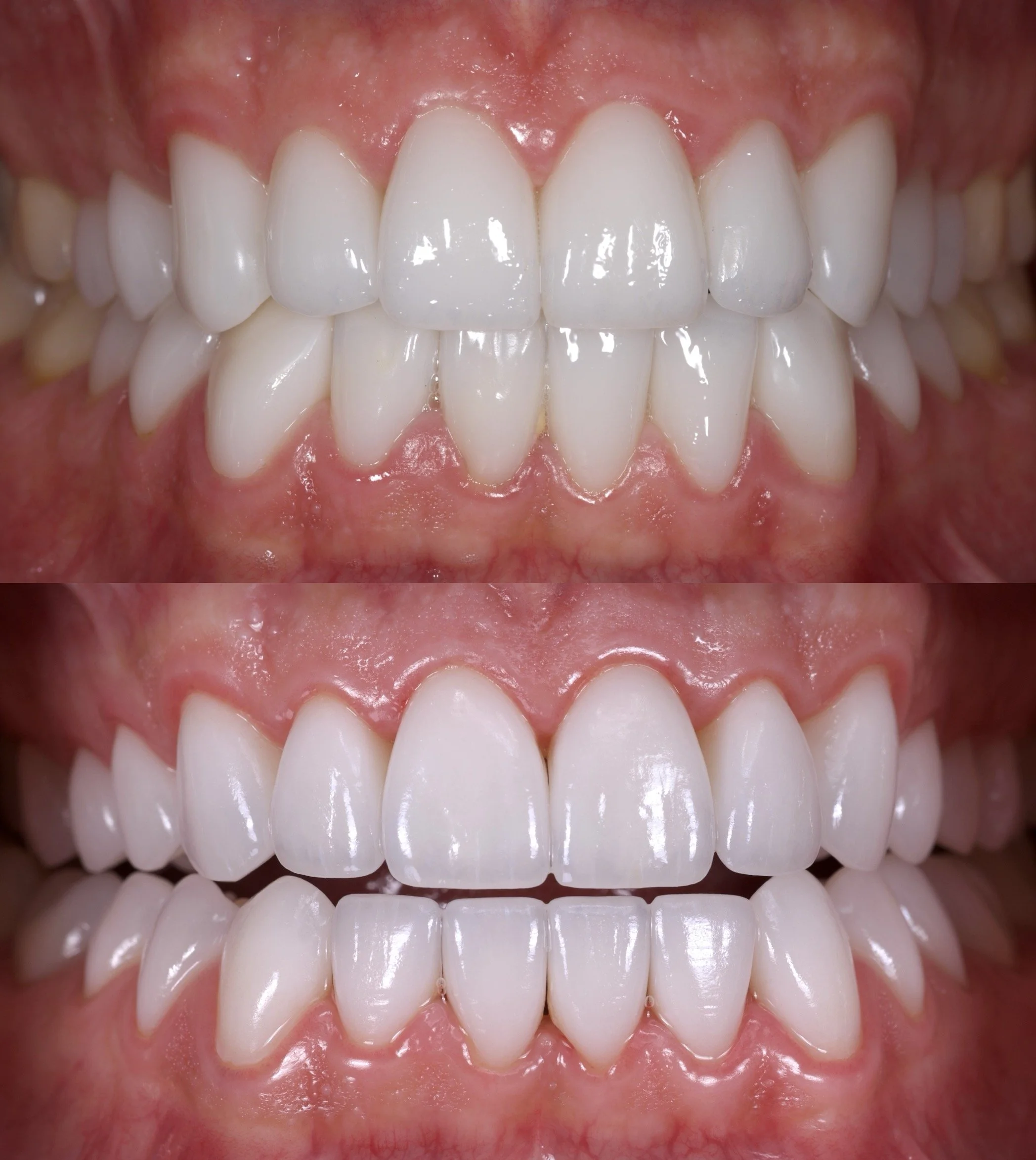
28 VENEERS IN SHADE BL2

Layered eMax High Translucency

Dr. Heldt, 2026. Newport Beach, California.

COSMETIC: 28 Layered eMax restorations (Veneers and Crowns). Diagnostic waxup with patient-approved temporaries for shape and shade. High translucency.

28 VENEERS IN SHADE BL2

Layered eMax High Translucency

Dr. Heldt, 2026. Newport Beach, California.

COSMETIC: 28 Layered eMax restorations (Veneers and Crowns). Diagnostic waxup with patient-approved temporaries for shape and shade. High translucency.

28 Veneers in Shade BL2 in High Translucency

28 Veneers in Shade BL2 in High Translucency

28 Veneers in Shade BL2 in High Translucency

28 Veneers in Shade BL2 in High Translucency

28 Veneers in Shade BL2 in High Translucency

Super High Translucency

Super High Translucency

Screenshot 2026-04-28 at 3.54.14 PM.jpg
Screenshot 2026-04-28 at 3.54.48 PM.jpg

(949) 734-0126

Monday 7:45 - 4:30
Tuesday 7:45 - 4:30
Wednesday 7:45 - 4:30
Thursday 7:45 - 4:30
Friday
phone only 10:00 - 2:00

Outside Business Hours: If you have an urgent issue, send us a text and Dr. Heldt will usually reply within a few hours.

 

 2001 WESTCLIFF DRIVE SUITE 305  

 NEWPORT BEACH CA 92660 

ABOUT

Dr. Heldt

Referring

Privacy

Promotions

Amenities

Accessibility

EXPLORE

Veneers

Implant

All-on-X

Works NEW

Services

SUPPORT

Contact

Virtual

Payments

Instructions

Reviews NEW

Copyright © 2026 Jeremy Heldt, DDS. All rights reserved.