0
Skip to Content
Jeremy Heldt, DDS - Cosmetic + Implant Dentist
OFFICE
VENEERS
IMPLANT
ALL-on-X
SERVICES
WORKS
CONTACT
Dr. Heldt
Reviews
Payments
Instructions
Referring
Virtual
Promotions
Amenities
Privacy
Accessibility
Jeremy Heldt, DDS - Cosmetic + Implant Dentist
OFFICE
VENEERS
IMPLANT
ALL-on-X
SERVICES
WORKS
CONTACT
Dr. Heldt
Reviews
Payments
Instructions
Referring
Virtual
Promotions
Amenities
Privacy
Accessibility
OFFICE
VENEERS
IMPLANT
ALL-on-X
SERVICES
WORKS
CONTACT
Folder: INFO
Back
Dr. Heldt
Reviews
Payments
Instructions
Referring
Virtual
Promotions
Amenities
Privacy
Accessibility
Screenshot 2026-03-03 at 9.16.54 AM.jpg
WORKS › 3 Layered eMax Crowns in Shade A1 + A2

3 Layered eMax Crowns in Shade A1 + A2

$0.00

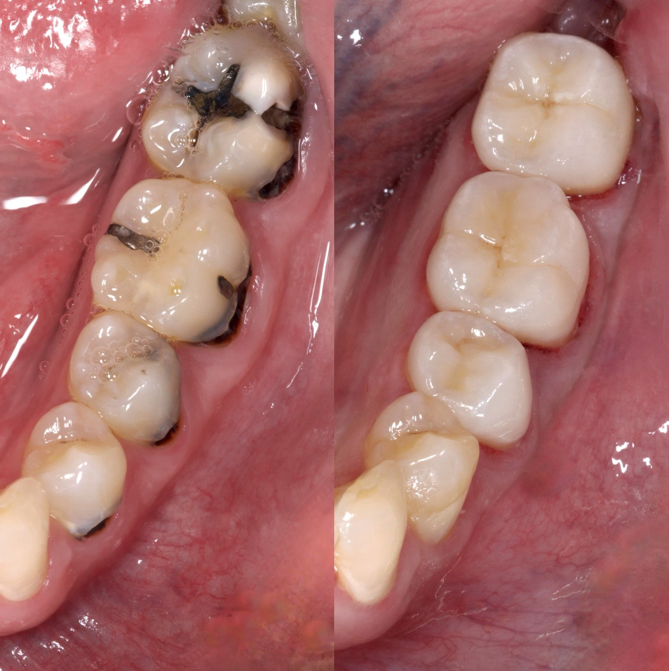
3 LAYERED EMAX CROWNS + COMPOSITE FILLING

Shade A1 blended to A2 in Medium to High Translucency

Dr. Heldt, 2026. Newport Beach, California.

3 LAYERED EMAX CROWNS + COMPOSITE FILLING

Shade A1 blended to A2 in Medium to High Translucency

Dr. Heldt, 2026. Newport Beach, California.

Screenshot 2025-12-06 at 3.23.29 PM.jpg
Screenshot 2025-12-06 at 3.23.41 PM.jpg
Screenshot 2025-12-06 at 3.57.12 PM.jpg

(949) 734-0126

Monday 7:45 - 4:30
Tuesday 7:45 - 4:30
Wednesday 7:45 - 4:30
Thursday 7:45 - 4:30
Friday
phone only 10:00 - 2:00

Outside Business Hours: If you have an urgent issue, send us a text and Dr. Heldt will usually reply within a few hours.

 

 2001 WESTCLIFF DRIVE SUITE 305  

 NEWPORT BEACH CA 92660 

ABOUT

Dr. Heldt

Referring

Privacy

Promotions

Amenities

Accessibility

EXPLORE

Veneers

Implant

All-on-X

Works NEW

Services

SUPPORT

Contact

Virtual

Payments

Instructions

Reviews NEW

Copyright © 2026 Jeremy Heldt, DDS. All rights reserved.