0
Skip to Content
Jeremy Heldt, DDS - Cosmetic + Implant Dentist
OFFICE
VENEERS
IMPLANT
ALL-on-X
SERVICES
WORKS
CONTACT
Dr. Heldt
Reviews
Payments
Instructions
Referring
Careers
Virtual Consult
Amenities
Privacy
Accessibility
Jeremy Heldt, DDS - Cosmetic + Implant Dentist
OFFICE
VENEERS
IMPLANT
ALL-on-X
SERVICES
WORKS
CONTACT
Dr. Heldt
Reviews
Payments
Instructions
Referring
Careers
Virtual Consult
Amenities
Privacy
Accessibility
OFFICE
VENEERS
IMPLANT
ALL-on-X
SERVICES
WORKS
CONTACT
Folder: INFO
Back
Dr. Heldt
Reviews
Payments
Instructions
Referring
Careers
Virtual Consult
Amenities
Privacy
Accessibility
Screenshot 2026-01-19 at 11.39.16 PM.jpg
WORKS › 4 Minimal Prep Veneers in Shade 0.5M1

4 Minimal Prep Veneers in Shade 0.5M1

$0.00

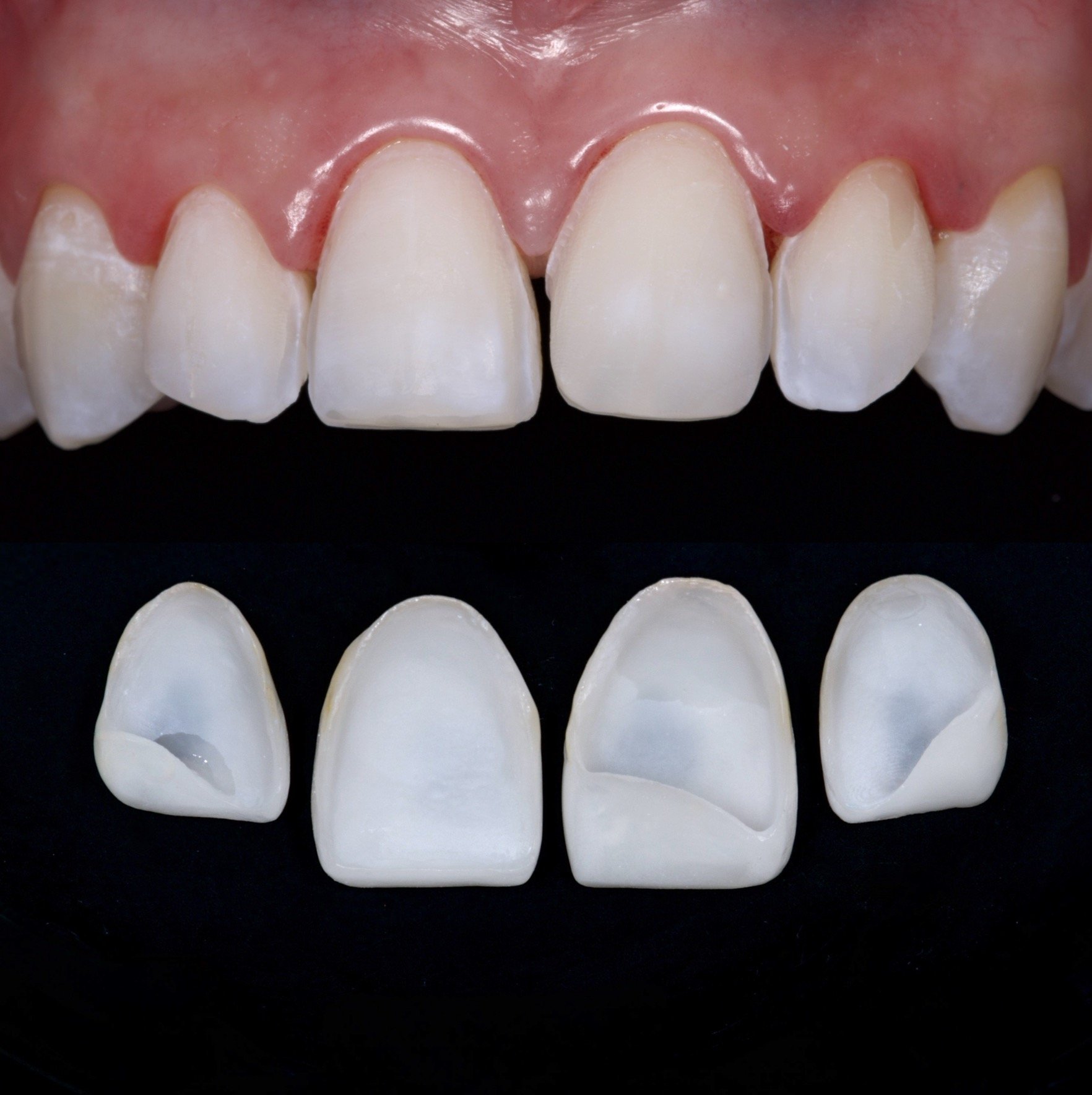
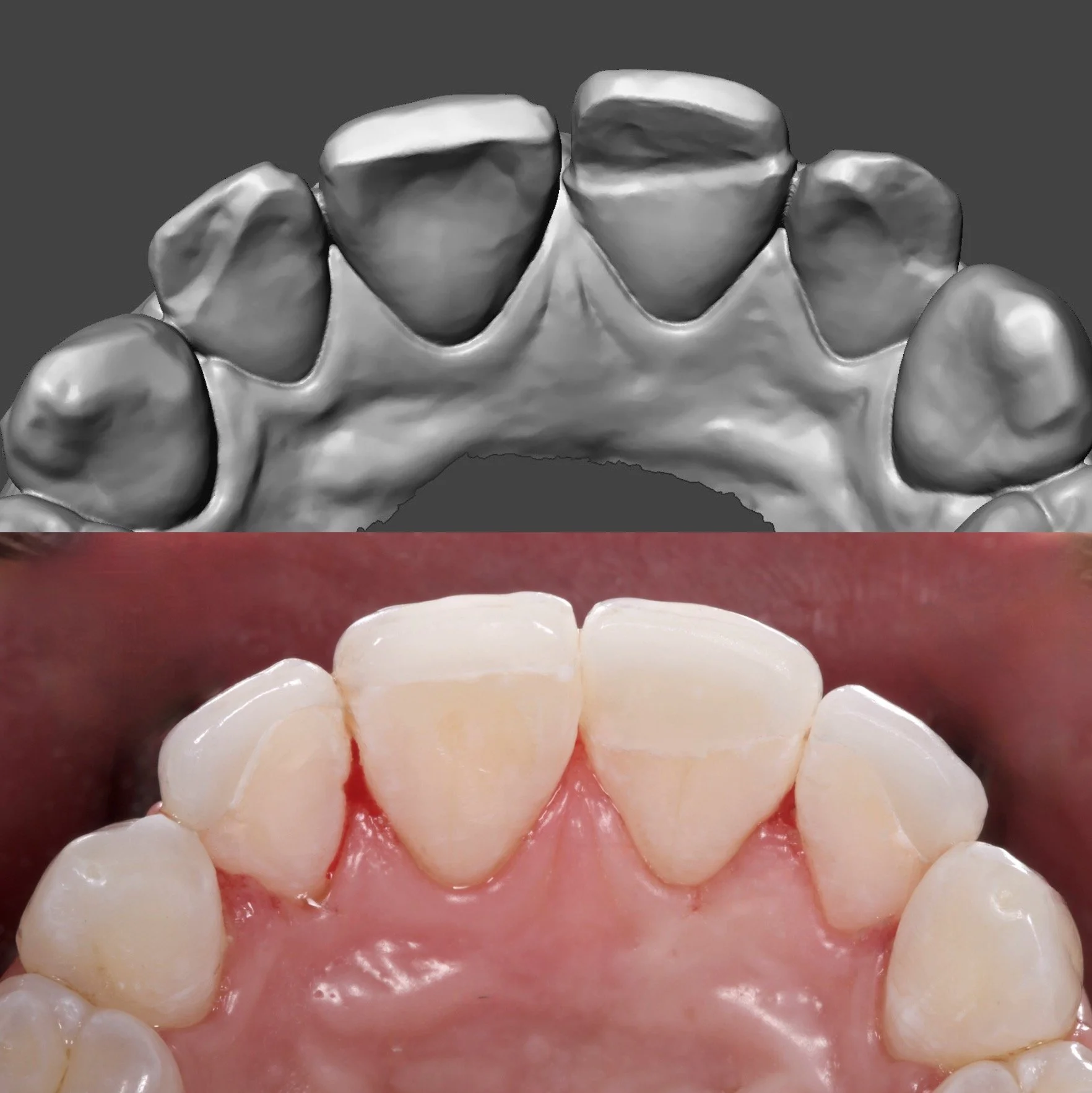
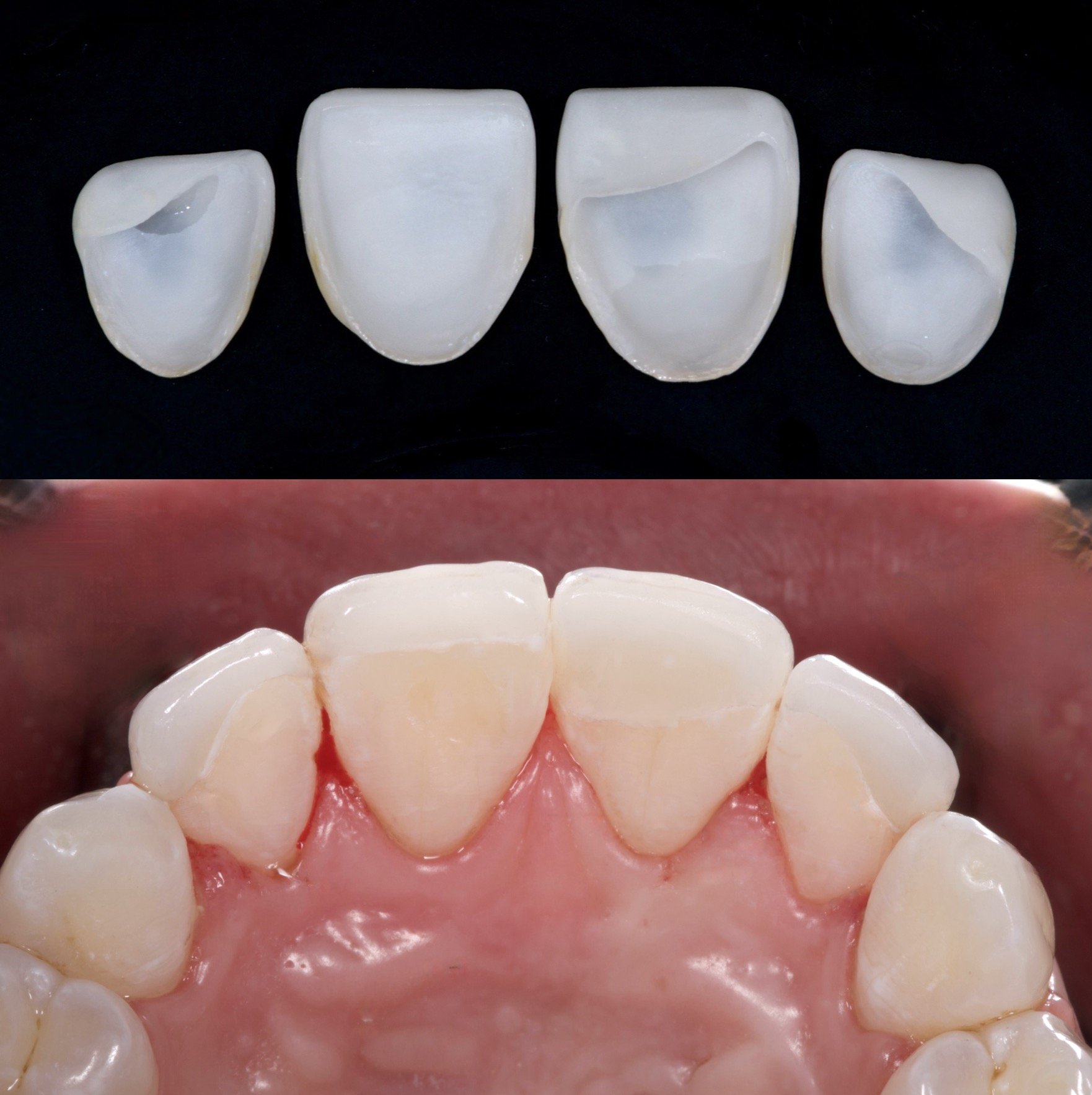
4 MINIMAL PREP VENEERS

Dr. Heldt, 2025. Newport Beach, California.

Because the patient is not interested in orthodontics, we were able to have the teeth appear straightened with 4 veneers. This is not the doctor’s recommendation by the way. 4 Layered eMax Veneers (#7-10) in Shade 0.5M1. Diagnostic waxup with patient-approved temporaries for shape and shade. Low translucency. No staining.

4 MINIMAL PREP VENEERS

Dr. Heldt, 2025. Newport Beach, California.

Because the patient is not interested in orthodontics, we were able to have the teeth appear straightened with 4 veneers. This is not the doctor’s recommendation by the way. 4 Layered eMax Veneers (#7-10) in Shade 0.5M1. Diagnostic waxup with patient-approved temporaries for shape and shade. Low translucency. No staining.

Screenshot 2026-01-19 at 11.39.49 PM.jpg
Screenshot 2026-01-19 at 11.39.40 PM.jpg
Screenshot 2026-01-19 at 11.39.32 PM.jpg
Screenshot 2026-01-19 at 11.39.16 PM.jpg
Screenshot 2026-01-19 at 11.47.02 PM.jpg

(949) 734-0126

Monday 7:45 - 4:30
Tuesday 7:45 - 4:30
Wednesday 7:45 - 4:30
Thursday 7:45 - 4:30
Friday
phone only 10:00 - 2:00

Outside Business Hours: If you have an urgent issue, send us a text and Dr. Heldt will usually reply within a few hours.

 

 2001 WESTCLIFF DRIVE SUITE 305  

 NEWPORT BEACH CA 92660 

ABOUT

Dr. Heldt

Referring

Promotions

Careers

Privacy

Accessibility

EXPLORE

Veneers

Implant

All-on-X

Works NEW

Services

SUPPORT

Contact

Virtual

Payments

Instructions

Reviews NEW

Amenities

Copyright © 2026 Jeremy Heldt, DDS. All rights reserved.