0
Skip to Content
Jeremy Heldt, DDS - Cosmetic + Implant Dentist
OFFICE
VENEERS
IMPLANT
ALL-on-X
SERVICES
WORKS
CONTACT
Dr. Heldt
Reviews
Payments
Instructions
Referring
Virtual
Promotions
Amenities
Privacy
Accessibility
Jeremy Heldt, DDS - Cosmetic + Implant Dentist
OFFICE
VENEERS
IMPLANT
ALL-on-X
SERVICES
WORKS
CONTACT
Dr. Heldt
Reviews
Payments
Instructions
Referring
Virtual
Promotions
Amenities
Privacy
Accessibility
OFFICE
VENEERS
IMPLANT
ALL-on-X
SERVICES
WORKS
CONTACT
Folder: INFO
Back
Dr. Heldt
Reviews
Payments
Instructions
Referring
Virtual
Promotions
Amenities
Privacy
Accessibility
Screenshot 2026-01-16 at 2.40.37 PM.jpg
Screenshot 2026-01-16 at 2.41.25 PM.jpg
WORKS › 4 Veneers in Shade 1M1

4 Veneers in Shade 1M1

$0.00

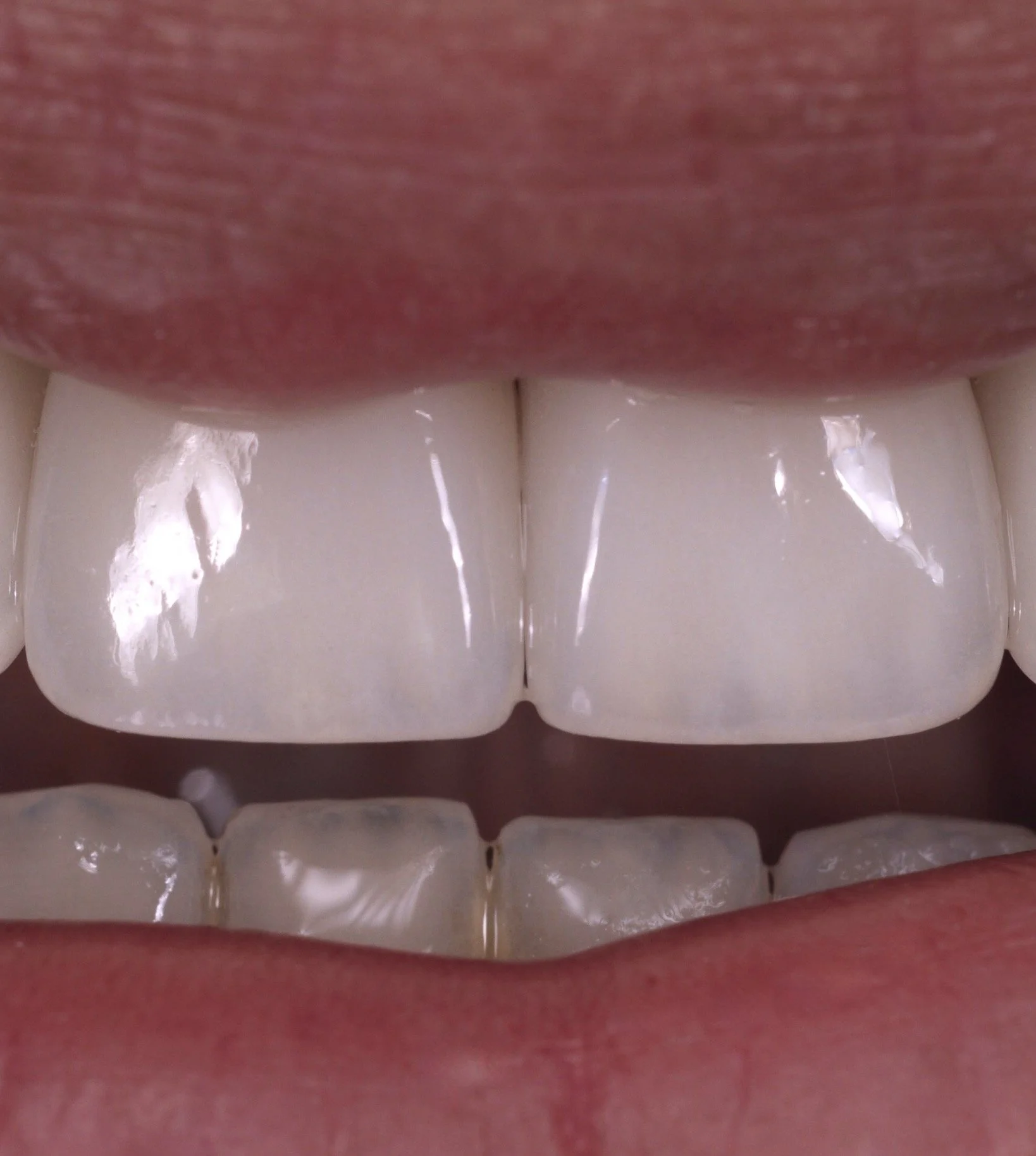
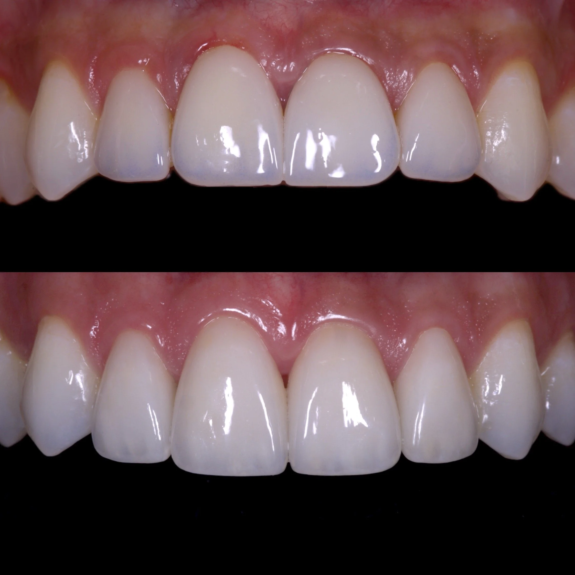
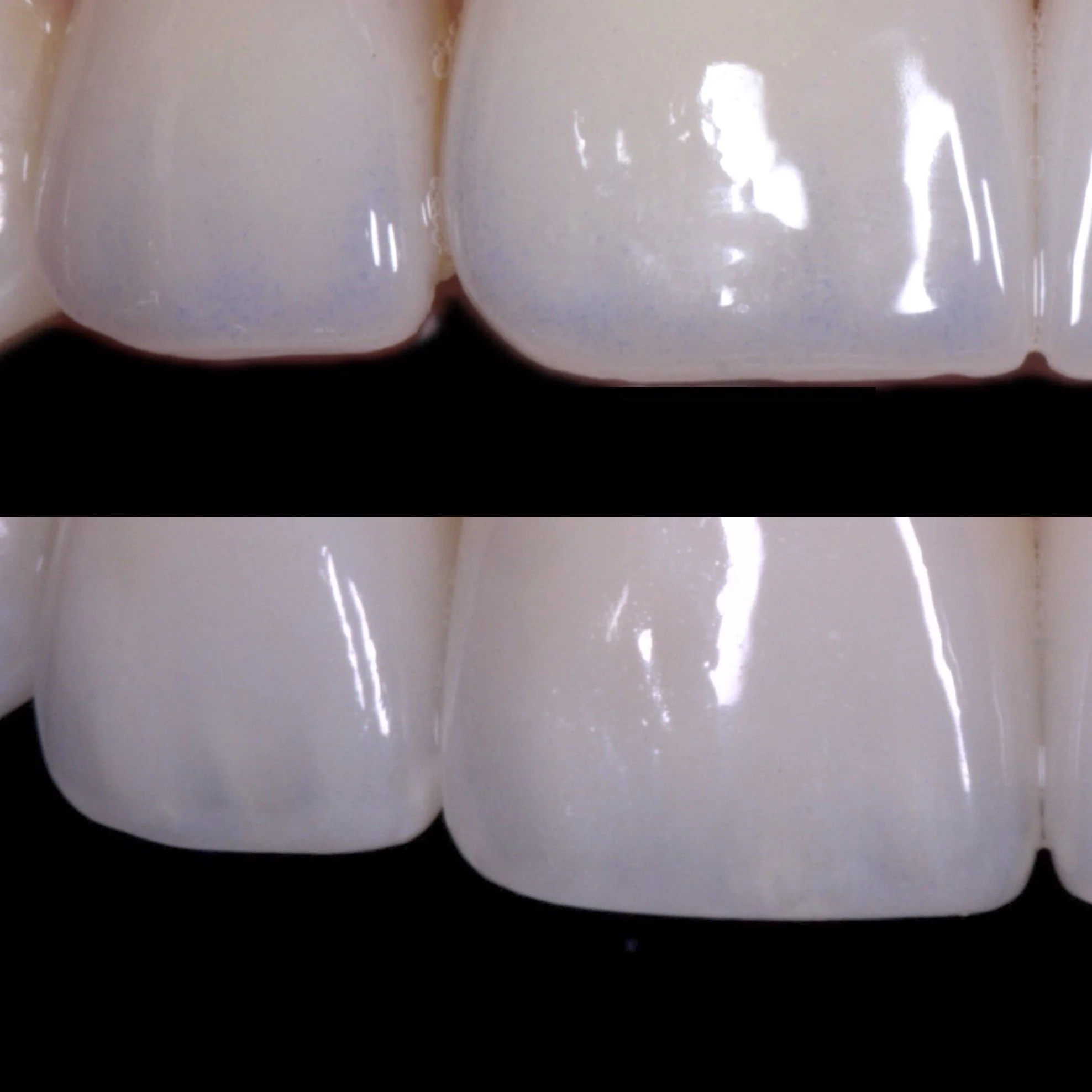
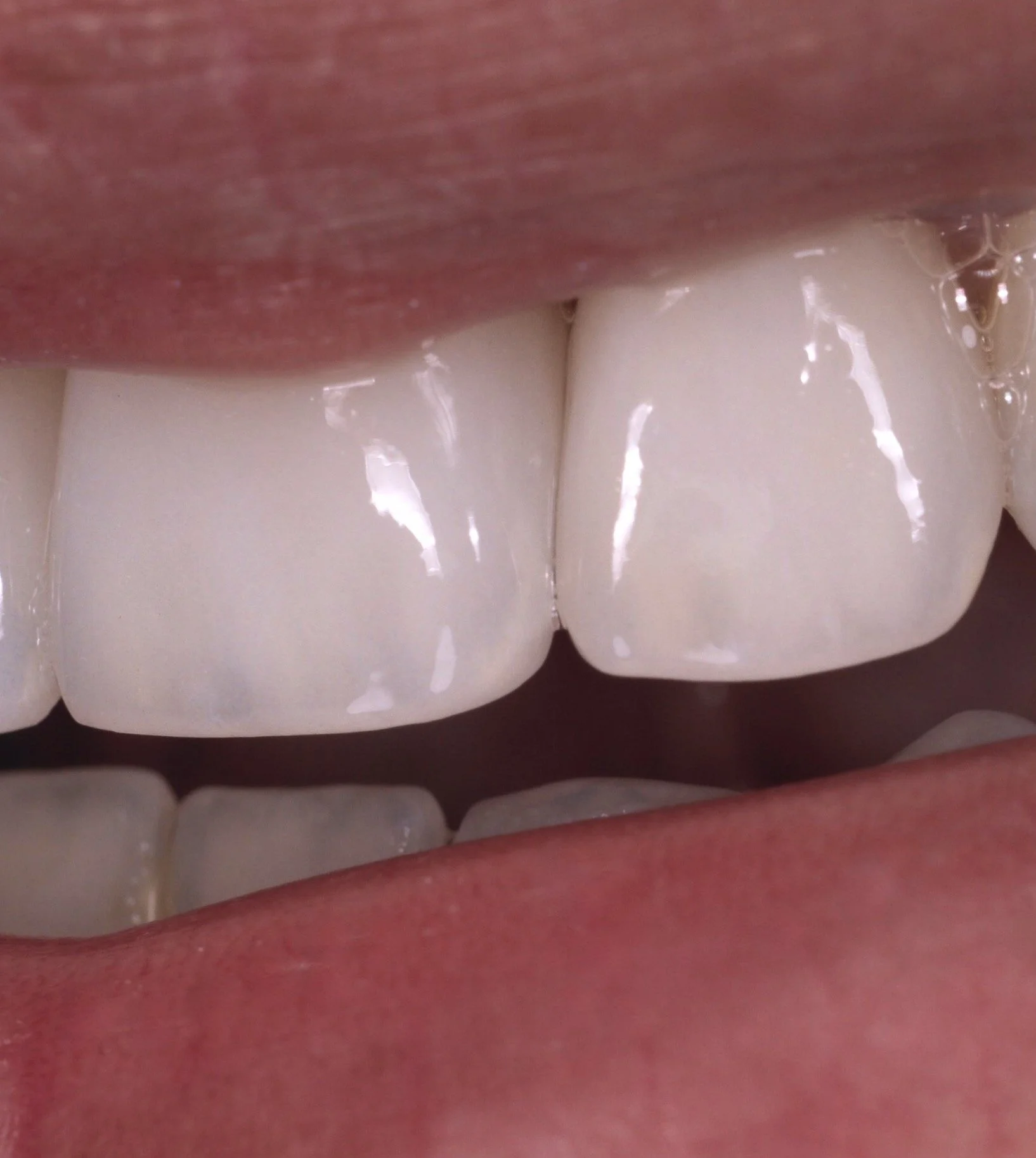
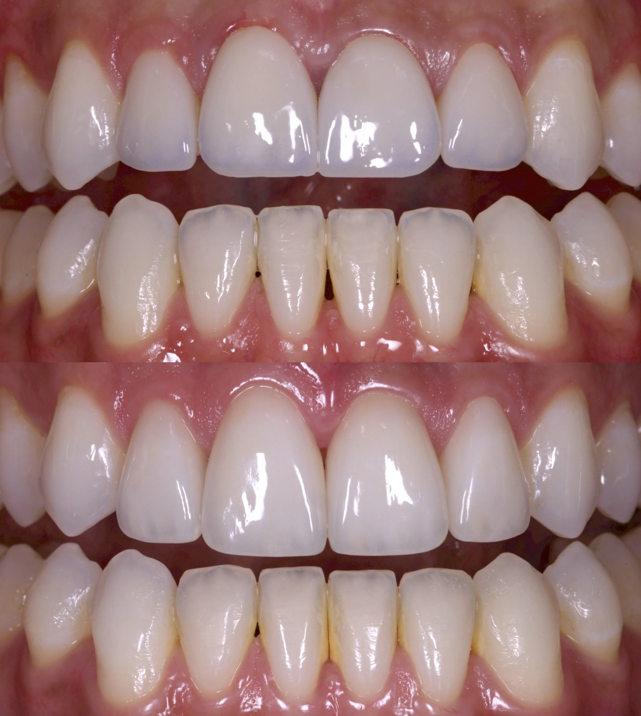
4 LAYERED EMAX VENEERS

Layered eMax Porcelain Veneers

Dr. Heldt, 2024. Newport Beach, California.

4 Layered eMax Veneers in Shade 1M1. Diagnostic wax-up with patient-approved temporaries for shape and shade. High translucency and natural aesthetics. True translucency with layered porcelain replaced stained (painted on blue — which is an artificial and inexpensive way to simulate enamel translucency).


4 LAYERED EMAX VENEERS

Layered eMax Porcelain Veneers

Dr. Heldt, 2024. Newport Beach, California.

4 Layered eMax Veneers in Shade 1M1. Diagnostic wax-up with patient-approved temporaries for shape and shade. High translucency and natural aesthetics. True translucency with layered porcelain replaced stained (painted on blue — which is an artificial and inexpensive way to simulate enamel translucency).


Screenshot 2026-01-16 at 2.44.40 PM.jpg
Screenshot 2026-01-16 at 2.44.34 PM.jpg
Screenshot 2026-01-16 at 2.44.28 PM.jpg
Screenshot 2026-01-16 at 2.44.20 PM.jpg
Screenshot 2026-01-16 at 2.44.13 PM.jpg
Screenshot 2026-01-16 at 2.44.08 PM.jpg
Screenshot 2026-01-16 at 2.43.55 PM.jpg
Screenshot 2026-01-16 at 2.43.48 PM.jpg
Screenshot 2026-01-16 at 2.43.40 PM.jpg
Screenshot 2026-01-16 at 2.43.33 PM.jpg
Screenshot 2026-01-16 at 2.40.05 PM.jpg

(949) 734-0126

Monday 7:45 - 4:30
Tuesday 7:45 - 4:30
Wednesday 7:45 - 4:30
Thursday 7:45 - 4:30
Friday
phone only 10:00 - 2:00

Outside Business Hours: If you have an urgent issue, send us a text and Dr. Heldt will usually reply within a few hours.

 

 2001 WESTCLIFF DRIVE SUITE 305  

 NEWPORT BEACH CA 92660 

ABOUT

Dr. Heldt

Referring

Privacy

Promotions

Amenities

Accessibility

EXPLORE

Veneers

Implant

All-on-X

Works NEW

Services

SUPPORT

Contact

Virtual

Payments

Instructions

Reviews NEW

Copyright © 2026 Jeremy Heldt, DDS. All rights reserved.