0
Skip to Content
Jeremy Heldt, DDS - Cosmetic + Implant Dentist
OFFICE
VENEERS
IMPLANT
ALL-on-X
SERVICES
WORKS
CONTACT
Dr. Heldt
Reviews
Payments
Instructions
Referring
Virtual
Promotions
Amenities
Privacy
Accessibility
Jeremy Heldt, DDS - Cosmetic + Implant Dentist
OFFICE
VENEERS
IMPLANT
ALL-on-X
SERVICES
WORKS
CONTACT
Dr. Heldt
Reviews
Payments
Instructions
Referring
Virtual
Promotions
Amenities
Privacy
Accessibility
OFFICE
VENEERS
IMPLANT
ALL-on-X
SERVICES
WORKS
CONTACT
Folder: INFO
Back
Dr. Heldt
Reviews
Payments
Instructions
Referring
Virtual
Promotions
Amenities
Privacy
Accessibility
4 Dental Implants, 4 Crowns, and Invisalign in Newport Beach by Jeremy Heldt, DDS. Nobel Biocare Implants.
WORKS › 4 Implants + Sinus Lift

4 Implants + Sinus Lift

$0.00

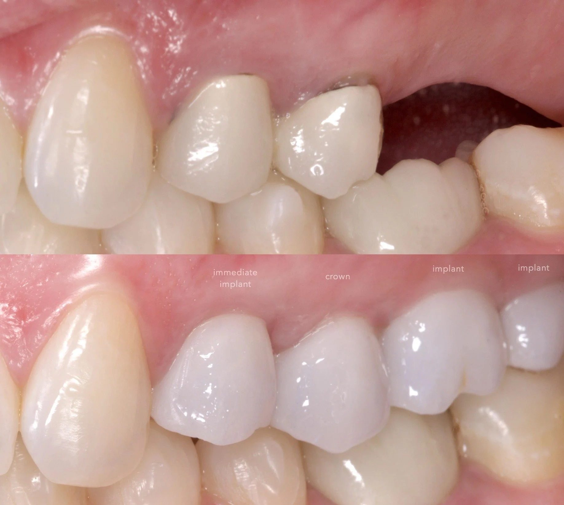
4 IMPLANTS + MAXILLARY SINUS LIFT

Porcelain, Zirconia, Titanium, and Resin.

Dr. Heldt, 2023. Newport Beach, California.

Maxillary sinus lift and 3 implants (NobelActive) were placed. After 8 months of healing and Invisalign treatment has been completed, Nobel Biocare custom abutments and layered eMax crowns finalized the case. Surgical + Restorative by Dr. Heldt. Invisalign planned by Dr. Liu.

4 IMPLANTS + MAXILLARY SINUS LIFT

Porcelain, Zirconia, Titanium, and Resin.

Dr. Heldt, 2023. Newport Beach, California.

Maxillary sinus lift and 3 implants (NobelActive) were placed. After 8 months of healing and Invisalign treatment has been completed, Nobel Biocare custom abutments and layered eMax crowns finalized the case. Surgical + Restorative by Dr. Heldt. Invisalign planned by Dr. Liu.

Screenshot 2025-11-02 at 9.50.33 PM.jpg
Screenshot 2025-11-02 at 9.49.44 PM.jpg
Screenshot 2025-11-02 at 10.03.40 PM.jpg
Screenshot 2025-11-02 at 9.49.20 PM.jpg
Screenshot 2025-11-02 at 9.49.13 PM.jpg
Screenshot 2025-11-02 at 9.49.04 PM.jpg

(949) 734-0126

Monday 7:45 - 4:30
Tuesday 7:45 - 4:30
Wednesday 7:45 - 4:30
Thursday 7:45 - 4:30
Friday
phone only 10:00 - 2:00

Outside Business Hours: If you have an urgent issue, send us a text and Dr. Heldt will usually reply within a few hours.

 

 2001 WESTCLIFF DRIVE SUITE 305  

 NEWPORT BEACH CA 92660 

ABOUT

Dr. Heldt

Referring

Privacy

Promotions

Amenities

Accessibility

EXPLORE

Veneers

Implant

All-on-X

Works NEW

Services

SUPPORT

Contact

Virtual

Payments

Instructions

Reviews NEW

Copyright © 2026 Jeremy Heldt, DDS. All rights reserved.