0
Skip to Content
Jeremy Heldt, DDS - Cosmetic + Implant Dentist
OFFICE
VENEERS
IMPLANT
ALL-on-X
SERVICES
WORKS
CONTACT
Dr. Heldt
Reviews
Payments
Instructions
Referring
Virtual
Promotions
Amenities
Privacy
Accessibility
Jeremy Heldt, DDS - Cosmetic + Implant Dentist
OFFICE
VENEERS
IMPLANT
ALL-on-X
SERVICES
WORKS
CONTACT
Dr. Heldt
Reviews
Payments
Instructions
Referring
Virtual
Promotions
Amenities
Privacy
Accessibility
OFFICE
VENEERS
IMPLANT
ALL-on-X
SERVICES
WORKS
CONTACT
Folder: INFO
Back
Dr. Heldt
Reviews
Payments
Instructions
Referring
Virtual
Promotions
Amenities
Privacy
Accessibility
Screenshot 2026-03-05 at 3.11.26 PM.jpg
WORKS › All-on-6 Dental Implants

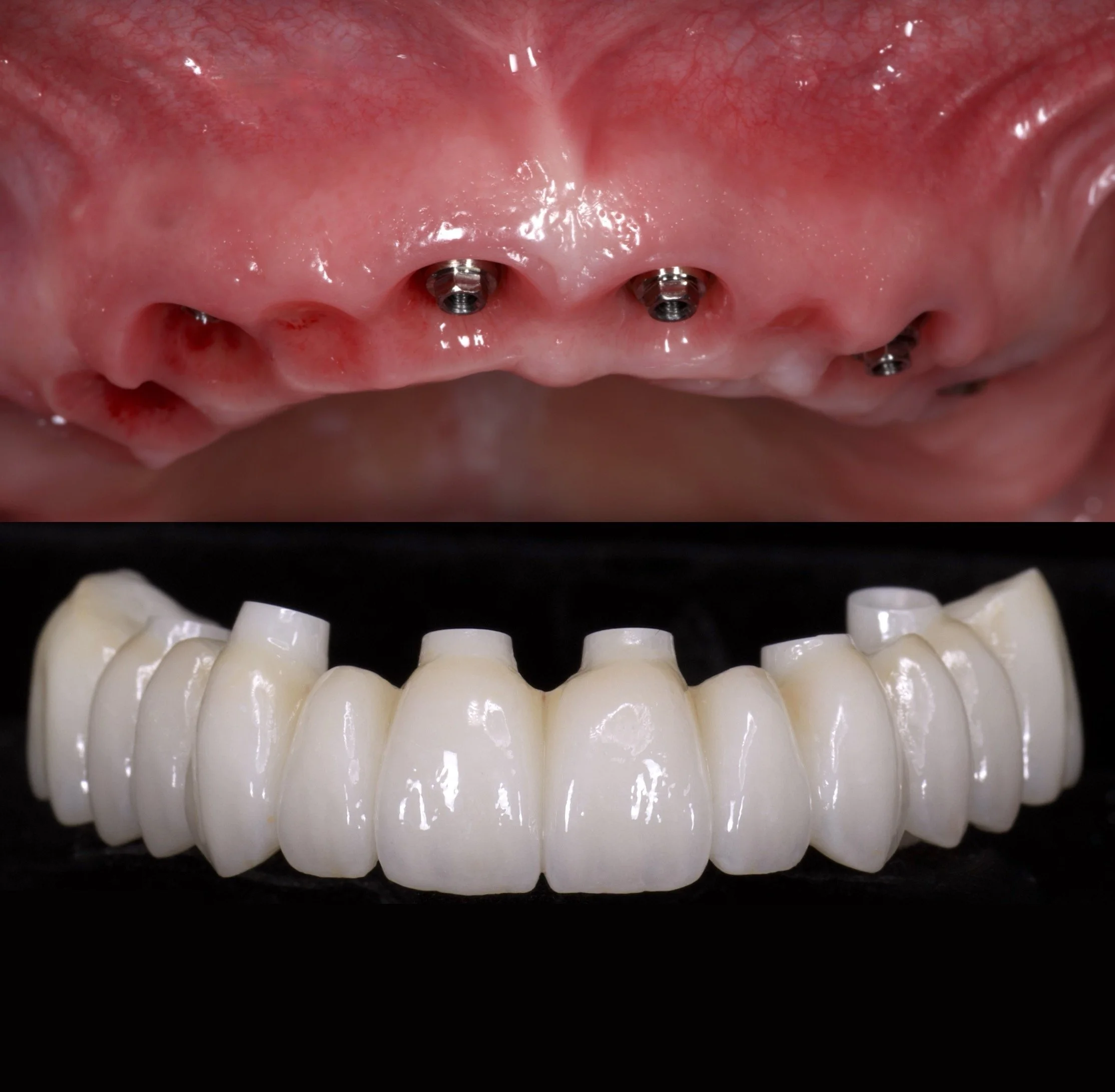
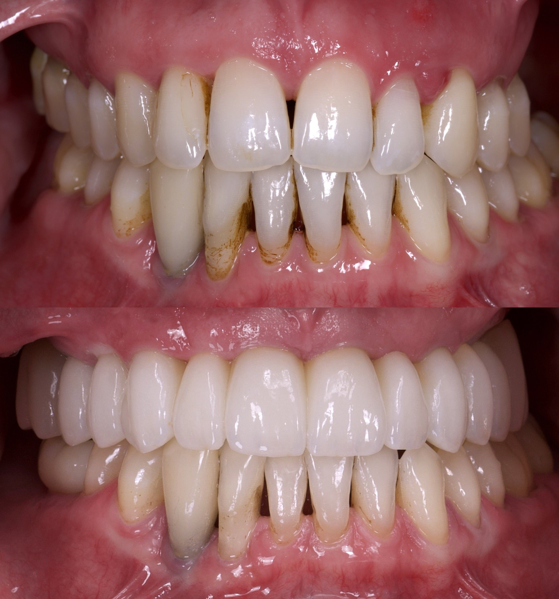
All-on-6 Dental Implants

$0.00

6 IMPLANTS + LAYERED ZIRCONIA FRAMEWORK

Porcelain, Titanium, Allograft, and Xenograft.

Dr. Heldt, 2026. Newport Beach, California.

IMPLANT: upper All-on-6 and lower All-on-4 dental implants, extractions, allograft, xenograft, alveoloplasty, immediate implants (NobelActive), immediate temporary teeth.

COSMETIC: 2 Layered Zirconia Frameworks in Shade OM1 + 1 Monolithic Zirconia Framework for the lower arch. Diagnostic waxup with patient-approved temporaries for shape and shade. Medium translucency and staining. Pink porcelain in Shades G2 - G5. Surgical + Restorative by Dr. Heldt.

6 IMPLANTS + LAYERED ZIRCONIA FRAMEWORK

Porcelain, Titanium, Allograft, and Xenograft.

Dr. Heldt, 2026. Newport Beach, California.

IMPLANT: upper All-on-6 and lower All-on-4 dental implants, extractions, allograft, xenograft, alveoloplasty, immediate implants (NobelActive), immediate temporary teeth.

COSMETIC: 2 Layered Zirconia Frameworks in Shade OM1 + 1 Monolithic Zirconia Framework for the lower arch. Diagnostic waxup with patient-approved temporaries for shape and shade. Medium translucency and staining. Pink porcelain in Shades G2 - G5. Surgical + Restorative by Dr. Heldt.

Screenshot 2026-03-05 at 3.15.28 PM.jpg
Screenshot 2026-03-05 at 3.16.25 PM.jpg
Screenshot 2026-03-05 at 3.15.59 PM.jpg
Screenshot 2026-03-05 at 3.15.49 PM.jpg
Screenshot 2026-03-05 at 3.16.45 PM.jpg
Screenshot 2026-03-05 at 3.15.33 PM.jpg
Screenshot 2026-03-05 at 3.44.23 PM.jpg
Screenshot 2026-03-05 at 3.45.20 PM.jpg
Screenshot 2026-03-05 at 3.46.00 PM.jpg

(949) 734-0126

Monday 7:45 - 4:30
Tuesday 7:45 - 4:30
Wednesday 7:45 - 4:30
Thursday 7:45 - 4:30
Friday
phone only 10:00 - 2:00

Outside Business Hours: If you have an urgent issue, send us a text and Dr. Heldt will usually reply within a few hours.

 

 2001 WESTCLIFF DRIVE SUITE 305  

 NEWPORT BEACH CA 92660 

ABOUT

Dr. Heldt

Referring

Privacy

Promotions

Amenities

Accessibility

EXPLORE

Veneers

Implant

All-on-X

Works NEW

Services

SUPPORT

Contact

Virtual

Payments

Instructions

Reviews NEW

Copyright © 2026 Jeremy Heldt, DDS. All rights reserved.