0
Skip to Content
Jeremy Heldt, DDS - Cosmetic + Implant Dentist
OFFICE
VENEERS
IMPLANT
ALL-on-X
SERVICES
WORKS
CONTACT
Dr. Heldt
Reviews
Payments
Instructions
Referring
Careers
Virtual Consult
Promotions
Amenities
Privacy
Accessibility
Jeremy Heldt, DDS - Cosmetic + Implant Dentist
OFFICE
VENEERS
IMPLANT
ALL-on-X
SERVICES
WORKS
CONTACT
Dr. Heldt
Reviews
Payments
Instructions
Referring
Careers
Virtual Consult
Promotions
Amenities
Privacy
Accessibility
OFFICE
VENEERS
IMPLANT
ALL-on-X
SERVICES
WORKS
CONTACT
Folder: INFO
Back
Dr. Heldt
Reviews
Payments
Instructions
Referring
Careers
Virtual Consult
Promotions
Amenities
Privacy
Accessibility
Screenshot 2026-01-15 at 2.40.46 PM.jpg
Screenshot 2026-01-15 at 2.40.54 PM.jpg
WORKS › 6 Veneers in Shade 0.5M1

6 Veneers in Shade 0.5M1

$0.00

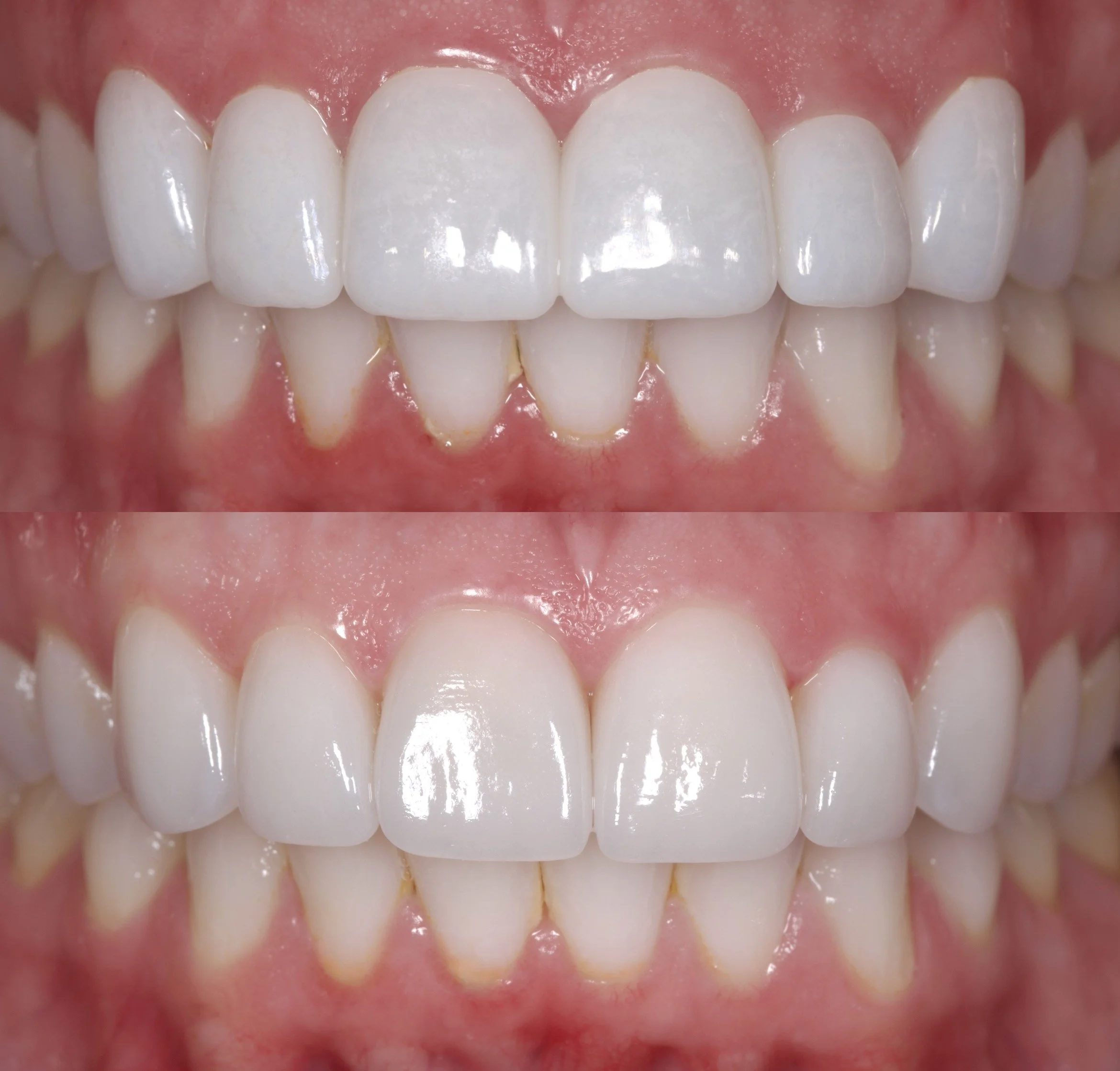
LAYERED EMAX VENEERS

6 Veneers in Shade 0.5M1

Dr. Heldt, 2026. Newport Beach, California.

COSMETIC: 6 Layered Veneers. Diagnostic waxup with patient-approved temporaries for shape and shade. Medium translucency. Orthodontics declined. Monolithic zirconia veneers replaced with layered eMax veneers for a truly realistic appearance.

LAYERED EMAX VENEERS

6 Veneers in Shade 0.5M1

Dr. Heldt, 2026. Newport Beach, California.

COSMETIC: 6 Layered Veneers. Diagnostic waxup with patient-approved temporaries for shape and shade. Medium translucency. Orthodontics declined. Monolithic zirconia veneers replaced with layered eMax veneers for a truly realistic appearance.

Screenshot 2026-01-15 at 2.41.46 PM.jpg
Screenshot 2026-01-15 at 2.41.37 PM.jpg
Screenshot 2026-01-15 at 2.41.27 PM.jpg

(949) 734-0126

Monday 7:45 - 4:30
Tuesday 7:45 - 4:30
Wednesday 7:45 - 4:30
Thursday 7:45 - 4:30
Friday
phone only 10:00 - 2:00

Outside Business Hours: If you have an urgent issue, send us a text and Dr. Heldt will usually reply within a few hours.

 

 2001 WESTCLIFF DRIVE SUITE 305  

 NEWPORT BEACH CA 92660 

ABOUT

Dr. Heldt

Referring

Promotions

Careers

Privacy

Accessibility

EXPLORE

Veneers

Implant

All-on-X

Works NEW

Services

SUPPORT

Contact

Virtual

Payments

Instructions

Reviews NEW

Amenities

Copyright © 2026 Jeremy Heldt, DDS. All rights reserved.