0
Skip to Content
Jeremy Heldt, DDS - Cosmetic + Implant Dentist
OFFICE
VENEERS
IMPLANT
ALL-on-X
SERVICES
WORKS
CONTACT
Dr. Heldt
Reviews
Payments
Instructions
Referring
Virtual
Promotions
Amenities
Privacy
Accessibility
Jeremy Heldt, DDS - Cosmetic + Implant Dentist
OFFICE
VENEERS
IMPLANT
ALL-on-X
SERVICES
WORKS
CONTACT
Dr. Heldt
Reviews
Payments
Instructions
Referring
Virtual
Promotions
Amenities
Privacy
Accessibility
OFFICE
VENEERS
IMPLANT
ALL-on-X
SERVICES
WORKS
CONTACT
Folder: INFO
Back
Dr. Heldt
Reviews
Payments
Instructions
Referring
Virtual
Promotions
Amenities
Privacy
Accessibility
Invisalign + Implants in Newport Beach by Jeremy Heldt, DDS
DTX Guided Surgery Dental Implant Planning in Newport Beach by Jeremy Heldt, DDS
Screw-Retained Dental Implant in Newport Beach by Jeremy Heldt, DDS
Screw-Retained Dental Implant in Newport Beach by Jeremy Heldt, DDS
Screw-Retained Dental Implant in Newport Beach by Jeremy Heldt, DDS
Screenshot 2025-11-03 at 9.13.43 AM.jpg
Invisalign + Implants in Newport Beach by Jeremy Heldt, DDS
WORKS › Invisalign + 2 Implants

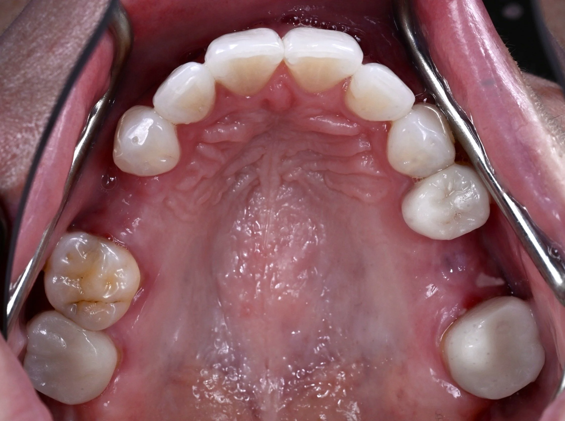
Invisalign + 2 Implants

$0.00

2 IMPLANTS + 4 CROWNS + INVISALIGN

Porcelain, Titanium, Allograft, Xenograft, and Whitening.

Dr. Heldt, 2023. Newport Beach, California.

COSMETIC: 4 Layered eMax Crowns. Diagnostic waxup with patient-approved temporaries for shape and shade. Light translucency. Invisalign Express. Invisalign planned by Dr. Liu.

IMPLANT: 2 extractions, allograft, xenograft, 2 implants (NobelActive). NobelProcera ASC zirconia abutments and layered eMax crowns finalized the case. Surgical + Restorative by Dr. Heldt.


2 IMPLANTS + 4 CROWNS + INVISALIGN

Porcelain, Titanium, Allograft, Xenograft, and Whitening.

Dr. Heldt, 2023. Newport Beach, California.

COSMETIC: 4 Layered eMax Crowns. Diagnostic waxup with patient-approved temporaries for shape and shade. Light translucency. Invisalign Express. Invisalign planned by Dr. Liu.

IMPLANT: 2 extractions, allograft, xenograft, 2 implants (NobelActive). NobelProcera ASC zirconia abutments and layered eMax crowns finalized the case. Surgical + Restorative by Dr. Heldt.


(949) 734-0126

Monday 7:45 - 4:30
Tuesday 7:45 - 4:30
Wednesday 7:45 - 4:30
Thursday 7:45 - 4:30
Friday
phone only 10:00 - 2:00

Outside Business Hours: If you have an urgent issue, send us a text and Dr. Heldt will usually reply within a few hours.

 

 2001 WESTCLIFF DRIVE SUITE 305  

 NEWPORT BEACH CA 92660 

ABOUT

Dr. Heldt

Referring

Privacy

Promotions

Amenities

Accessibility

EXPLORE

Veneers

Implant

All-on-X

Works NEW

Services

SUPPORT

Contact

Virtual

Payments

Instructions

Reviews NEW

Copyright © 2026 Jeremy Heldt, DDS. All rights reserved.