0
Skip to Content
Jeremy Heldt, DDS - Cosmetic + Implant Dentist
OFFICE
VENEERS
IMPLANT
ALL-on-X
SERVICES
WORKS
CONTACT
Dr. Heldt
Reviews
Payments
Instructions
Referring
Virtual
Promotions
Amenities
Privacy
Accessibility
Jeremy Heldt, DDS - Cosmetic + Implant Dentist
OFFICE
VENEERS
IMPLANT
ALL-on-X
SERVICES
WORKS
CONTACT
Dr. Heldt
Reviews
Payments
Instructions
Referring
Virtual
Promotions
Amenities
Privacy
Accessibility
OFFICE
VENEERS
IMPLANT
ALL-on-X
SERVICES
WORKS
CONTACT
Folder: INFO
Back
Dr. Heldt
Reviews
Payments
Instructions
Referring
Virtual
Promotions
Amenities
Privacy
Accessibility
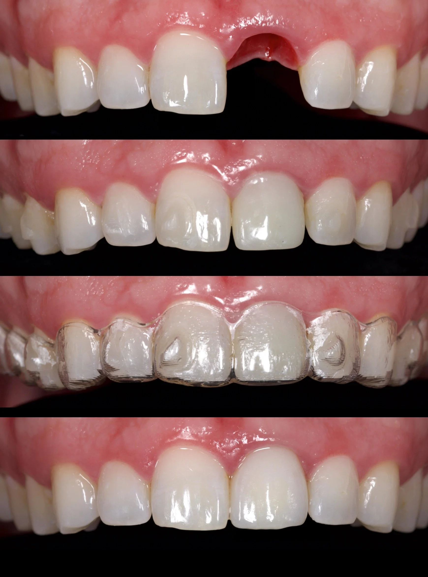
Single Central Dental Implant in Newport Beach by Jeremy Heldt, DDS. Nobel Biocare Implants.
WORKS › Immediate Central Implant

Immediate Central Implant

$0.00

IMMEDIATE IMPLANT #9

Porcelain, Titanium, Allograft, and Xenograft.

Dr. Heldt, 2026. Newport Beach, California.

IMPLANT: 1 extraction, allograft, xenograft, immediate implant (NobelActive), Temporary Snap-Abutment retrofit to an existing veneer. After 5 months of Invisalign and osseointegration (titanium fusing to bone) a NobelProcera ASC zirconia abutment and layered eMax crown finalized the case.

COSMETIC: 1 Layered eMax Crown. Diagnostic waxup with patient-approved temporaries for shape and shade. Light to medium translucency.

IMMEDIATE IMPLANT #9

Porcelain, Titanium, Allograft, and Xenograft.

Dr. Heldt, 2026. Newport Beach, California.

IMPLANT: 1 extraction, allograft, xenograft, immediate implant (NobelActive), Temporary Snap-Abutment retrofit to an existing veneer. After 5 months of Invisalign and osseointegration (titanium fusing to bone) a NobelProcera ASC zirconia abutment and layered eMax crown finalized the case.

COSMETIC: 1 Layered eMax Crown. Diagnostic waxup with patient-approved temporaries for shape and shade. Light to medium translucency.

Screenshot 2026-01-20 at 2.46.40 PM.jpg
Screenshot 2026-01-21 at 12.12.54 AM.jpg
Screenshot 2026-01-21 at 12.13.04 AM.jpg
Screenshot 2026-01-21 at 12.13.12 AM.jpg
Screenshot 2026-01-20 at 3.17.48 PM.jpg

(949) 734-0126

Monday 7:45 - 4:30
Tuesday 7:45 - 4:30
Wednesday 7:45 - 4:30
Thursday 7:45 - 4:30
Friday
phone only 10:00 - 2:00

Outside Business Hours: If you have an urgent issue, send us a text and Dr. Heldt will usually reply within a few hours.

 

 2001 WESTCLIFF DRIVE SUITE 305  

 NEWPORT BEACH CA 92660 

ABOUT

Dr. Heldt

Referring

Privacy

Promotions

Amenities

Accessibility

EXPLORE

Veneers

Implant

All-on-X

Works NEW

Services

SUPPORT

Contact

Virtual

Payments

Instructions

Reviews NEW

Copyright © 2026 Jeremy Heldt, DDS. All rights reserved.