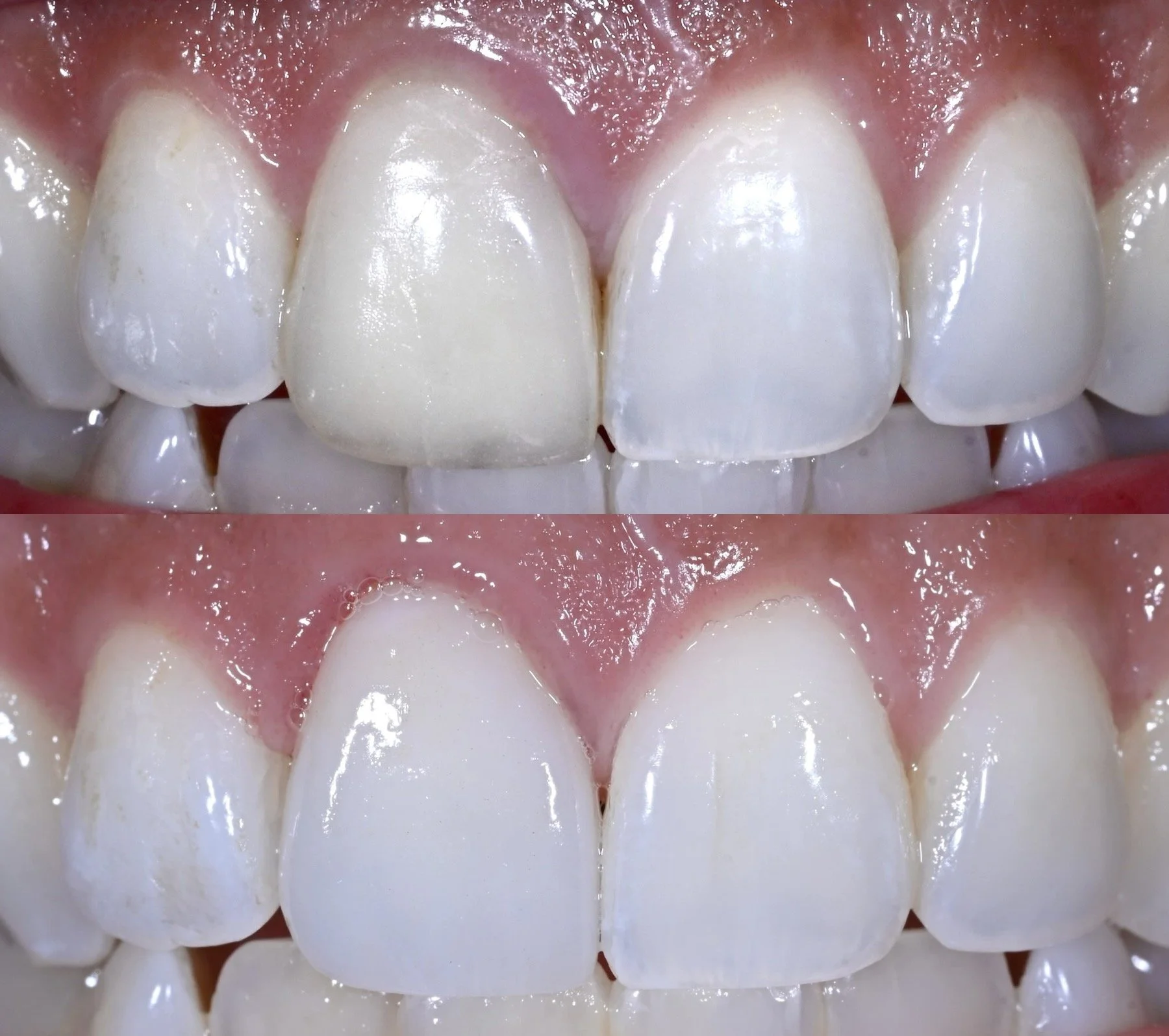
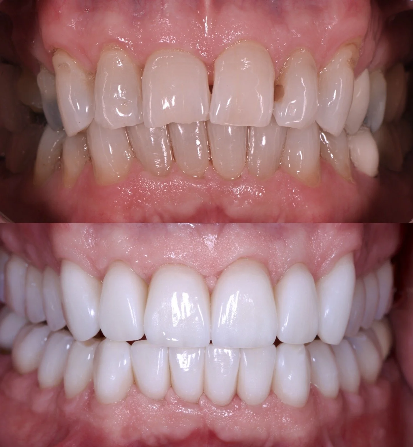
ORGANIZE WORKS by different types of veneers, implants, or other treatments. Filter by shade, material, or restoration type. Understand what is possible with the options available. This section is a work in-progress. Some options may not yet have content but will eventually be here. Please check back as we continue to update this section. Make an appointment with us anytime for more information or to start a treatment.

Natural

Natural